
Embrioskop – światowy przełom w monitorowaniu zarodków
Działy:
Poinformowano nas
Aktualności
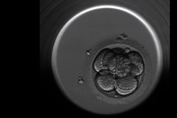
Wykorzystanie embrioskopu w procedurze zapłodnienia in vitro może zwiększyć jego skuteczność nawet o 10 proc. Innowacyjna amerykańska technologia jest już dostępna w Polsce.
Embrioskop to innowacyjny inkubator zarodków, wyposażony w zintegrowane, specjalistyczne kamery, umożliwiające ciągły monitoring zapłodnionych komórek. Pozwala to na kompleksową ocenę potencjału i rozwoju zarodków w czasie inkubacji przed transferem do macicy, bez narażania ich na działanie czynników zewnętrznych.
- Dzięki zastosowaniu embrioskopu możliwa jest dokładniejsza i bezpieczniejsza ocena oraz wybór najlepiej rokujących zarodków do transferu. Pozwala to na znaczne zwiększenie skuteczności zabiegu zapłodnienia in vitro – powiedział dr Grzegorz Mrugacz z Kliniki „Bocian” w Białymstoku.
Standardowe procedury in vitro obejmują hodowlę zarodków w inkubatorach, które zapewniają im optymalną temperaturę, wilgotność i skład atmosfery. W trakcie jej trwania embriolog przynajmniej raz dziennie obserwuje zapłodnione komórki pod mikroskopem w celu oceny ich rozwoju i potencjału. Wyselekcjonowanie odpowiedniego zarodka do transferu jest kluczowe do powodzenia procedury in vitro. Jednak proces obserwacji wiąże się z wyjęciem zarodka z inkubatora narażając go na zmiany temperatury, działanie powietrza oraz światło, które mogą mieć na niego negatywny wpływ. Ogranicza to częstość wykonywania obserwacji, co staje głównym utrudnieniem w precyzyjnej ocenie potencjału zarodków.
Po umieszczeniu zapłodnionych komórek w embrioskopie, urządzenie wykonuje w sposób ciągły i automatyczny zdjęcia poszczególnych oocytów, zygot oraz zarodków z częstotliwością ok. 15 minut. System jest nieustannie kontrolowany przez komputer, gdzie zbierane są pliki ze zdjęciami. Embriolog obserwuje jedynie film poklatkowy złożony z sekwencji obrazów w komputerze. Na podstawie jego analizy ocenia aktualne cechy i tempo rozwoju zarodka, dynamikę podziałów komórkowych oraz czas ich trwania. Zastosowanie tego typu obserwacji jest pomocne w każdym przypadku, ze szczególnym naciskiem na pary, u których zapładniana jest większa ilość komórek, a ich inkubacja trwa do 5 dób (stadium blastocysty).
- Dzięki zastosowaniu embrioskopu możliwa jest dokładniejsza i bezpieczniejsza ocena oraz wybór najlepiej rokujących zarodków do transferu. Pozwala to na znaczne zwiększenie skuteczności zabiegu zapłodnienia in vitro – powiedział dr Grzegorz Mrugacz z Kliniki „Bocian” w Białymstoku.
Standardowe procedury in vitro obejmują hodowlę zarodków w inkubatorach, które zapewniają im optymalną temperaturę, wilgotność i skład atmosfery. W trakcie jej trwania embriolog przynajmniej raz dziennie obserwuje zapłodnione komórki pod mikroskopem w celu oceny ich rozwoju i potencjału. Wyselekcjonowanie odpowiedniego zarodka do transferu jest kluczowe do powodzenia procedury in vitro. Jednak proces obserwacji wiąże się z wyjęciem zarodka z inkubatora narażając go na zmiany temperatury, działanie powietrza oraz światło, które mogą mieć na niego negatywny wpływ. Ogranicza to częstość wykonywania obserwacji, co staje głównym utrudnieniem w precyzyjnej ocenie potencjału zarodków.
Po umieszczeniu zapłodnionych komórek w embrioskopie, urządzenie wykonuje w sposób ciągły i automatyczny zdjęcia poszczególnych oocytów, zygot oraz zarodków z częstotliwością ok. 15 minut. System jest nieustannie kontrolowany przez komputer, gdzie zbierane są pliki ze zdjęciami. Embriolog obserwuje jedynie film poklatkowy złożony z sekwencji obrazów w komputerze. Na podstawie jego analizy ocenia aktualne cechy i tempo rozwoju zarodka, dynamikę podziałów komórkowych oraz czas ich trwania. Zastosowanie tego typu obserwacji jest pomocne w każdym przypadku, ze szczególnym naciskiem na pary, u których zapładniana jest większa ilość komórek, a ich inkubacja trwa do 5 dób (stadium blastocysty).