
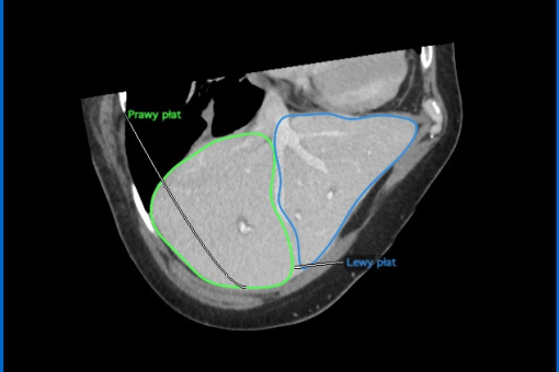
Zielona i niebieska linia pokazuje prawy i lewy płat przeszczepianej wątroby, jej podział (źródło WUM)
Pacjenci po przeszczepie wątroby od jednego dawcy czują się dobrze
4 stycznia br. specjaliści Warszawskiego Uniwersytetu Medycznego po raz pierwszy w Polsce przeszczepili dwóm dorosłym pacjentom wątrobę pobraną od jednego dawcy. Jak poinformowano, pacjenci czują się dobrze.
Zabieg wykonano w Katedrze i Klinice Chirurgii Ogólnej, Transplantacyjnej i Wątroby WUM, którą kieruje prof. Michał Grąt – najmłodszy kierownik kliniki chirurgicznej w kraju.
Operacja polegała na podziale na dwie części narządu pobranego od zmarłego dawcy i przeszczepieniu prawej części wątroby dla jednego biorcy i lewej części wątroby dla drugiego biorcy – poinformował PAP rzecznik prasowy WUM Jarosław Kulczycki.
– 3 stycznia wieczorem zadzwonili do mnie, żebym 4 stycznia rano pojawił się w szpitalu, bo odbędzie się przeszczep. Bałem się, ale byłem pogodzony z tym, że nie ma innego wyjścia, tylko przeszczep – opowiedział jeden z biorców, dwudziestosześcioletni Łukasz. Jak zapewnił na nagraniu wideo przekazanym PAP przez WUM, czuje się dobrze.
– Nie chorowałam długo. Do lekarza zgłosiłam się pod koniec listopada, od grudnia do połowy stycznia byłam w szpitalach, później miałam chwilę przerwy, żeby wyjść do domu, zregenerować się, i nagle telefon, że jest wątroba. Nie bardzo chciałam tego przeszczepu. Poprawiły mi się wtedy wyniki i liczyłam, że może uda się obejść ten przeszczep. Ale potem była już ulga. Wierzyłam, że szybko się zrehabilituję. Lekarze mówią, że jest dobrze, więc dodają mi otuchy – mówiła druga pacjentka, dwudziestoletnia Weronika.
Specjaliści WUM zapewniają, że obydwa fragmenty wątroby podjęły funkcję po przeszczepieniu. Dwójka biorców jest w dobrym stanie, a dotychczasowy przebieg pooperacyjny jest niepowikłany.
Jak poinformował WUM, wkrótce ma być więcej takich zabiegów. Dzięki temu możliwe będzie zwiększenie liczby przeszczepień, co ma niezwykle istotne znaczenie z uwagi na niewystarczającą liczbę dostępnych narządów.
Według Jarosława Kulczyckiego rozpoczęcie programu przeszczepiania podzielonych wątrób było ogromnym wyzwaniem medycznym i organizacyjnym. Jednak specjaliści Katedry i Kliniki Chirurgii Ogólnej, Transplantacyjnej i Wątroby WUM mają wieloletnie doświadczenie w pełnym zakresie różnego typu operacji wątroby i dróg żółciowych.
– Prawidłowa funkcja przeszczepionych fragmentów wątroby jest zależna od wielu czynników, w tym wykonania skomplikowanych zespoleń naczyniowych zapewniających dobry dopływ i odpływ krwi – zaznaczył rzecznik WUM.
Przełomową w naszym kraju transplantację przeprowadził zespół WUM – piętnastu chirurgów, dwóch anestezjologów, radiolog, pięć instrumentariuszek oraz cztery anestetyczki.
Wszczepienia lewych segmentów wątroby dokonał zespół w składzie: prof. Michał Grąt (operator), dr Maciej Krasnodębski (asysta) i dr Adam Bołtuć (asysta). Hepatektomię, czyli usunięcie chorego narządu biorcy, wykonali: dr hab. Krzysztof Dudek (operator), dr Jan Stypułkowski (asysta) i dr Andryi Zhylko (asysta). Znieczulenie zrobiła dr Paula Dudek. Wszczepienie prawych segmentów wątroby przeprowadził zespół w składzie: dr Piotr Smoter (operator), dr Konrad Kobryń (asysta), dr Emilia Kruk (asysta). Hepatektomię wykonali dr Ireneusz Grzelak (operator), dr Marta Przybysz (asysta), dr Emilia Kruk (asysta). Znieczulenie zrobiła dr Jolanta Piwowarska.
Wątrobę, pobraną od dawcy zmarłego przez dr. Rafała Stankiewicza (operator) i dr. Mateusza Bartkowiaka (asysta), podzielił prof. Waldemar Patkowski w asyście dr. Pawła Rykowskiego. Zespół pielęgniarski zaangażowany w przeszczepienie obejmował pielęgniarki instrumentalne i anestetyczne Annę Wąsik, Katarzynę Wójcik, Karolinę Kiełek, Marzenę Kaczmarską, Joannę Petrykę (instrumentariuszki) oraz Joannę Kosińską, Patrycję Figarską, Agatę Małek, Weronikę Karnkowską (anestetyczki). Procedurę koordynował Krzysztof Zając.
Operacja polegała na podziale na dwie części narządu pobranego od zmarłego dawcy i przeszczepieniu prawej części wątroby dla jednego biorcy i lewej części wątroby dla drugiego biorcy – poinformował PAP rzecznik prasowy WUM Jarosław Kulczycki.
– 3 stycznia wieczorem zadzwonili do mnie, żebym 4 stycznia rano pojawił się w szpitalu, bo odbędzie się przeszczep. Bałem się, ale byłem pogodzony z tym, że nie ma innego wyjścia, tylko przeszczep – opowiedział jeden z biorców, dwudziestosześcioletni Łukasz. Jak zapewnił na nagraniu wideo przekazanym PAP przez WUM, czuje się dobrze.
– Nie chorowałam długo. Do lekarza zgłosiłam się pod koniec listopada, od grudnia do połowy stycznia byłam w szpitalach, później miałam chwilę przerwy, żeby wyjść do domu, zregenerować się, i nagle telefon, że jest wątroba. Nie bardzo chciałam tego przeszczepu. Poprawiły mi się wtedy wyniki i liczyłam, że może uda się obejść ten przeszczep. Ale potem była już ulga. Wierzyłam, że szybko się zrehabilituję. Lekarze mówią, że jest dobrze, więc dodają mi otuchy – mówiła druga pacjentka, dwudziestoletnia Weronika.
Specjaliści WUM zapewniają, że obydwa fragmenty wątroby podjęły funkcję po przeszczepieniu. Dwójka biorców jest w dobrym stanie, a dotychczasowy przebieg pooperacyjny jest niepowikłany.
Jak poinformował WUM, wkrótce ma być więcej takich zabiegów. Dzięki temu możliwe będzie zwiększenie liczby przeszczepień, co ma niezwykle istotne znaczenie z uwagi na niewystarczającą liczbę dostępnych narządów.
Według Jarosława Kulczyckiego rozpoczęcie programu przeszczepiania podzielonych wątrób było ogromnym wyzwaniem medycznym i organizacyjnym. Jednak specjaliści Katedry i Kliniki Chirurgii Ogólnej, Transplantacyjnej i Wątroby WUM mają wieloletnie doświadczenie w pełnym zakresie różnego typu operacji wątroby i dróg żółciowych.
– Prawidłowa funkcja przeszczepionych fragmentów wątroby jest zależna od wielu czynników, w tym wykonania skomplikowanych zespoleń naczyniowych zapewniających dobry dopływ i odpływ krwi – zaznaczył rzecznik WUM.
Przełomową w naszym kraju transplantację przeprowadził zespół WUM – piętnastu chirurgów, dwóch anestezjologów, radiolog, pięć instrumentariuszek oraz cztery anestetyczki.
Wszczepienia lewych segmentów wątroby dokonał zespół w składzie: prof. Michał Grąt (operator), dr Maciej Krasnodębski (asysta) i dr Adam Bołtuć (asysta). Hepatektomię, czyli usunięcie chorego narządu biorcy, wykonali: dr hab. Krzysztof Dudek (operator), dr Jan Stypułkowski (asysta) i dr Andryi Zhylko (asysta). Znieczulenie zrobiła dr Paula Dudek. Wszczepienie prawych segmentów wątroby przeprowadził zespół w składzie: dr Piotr Smoter (operator), dr Konrad Kobryń (asysta), dr Emilia Kruk (asysta). Hepatektomię wykonali dr Ireneusz Grzelak (operator), dr Marta Przybysz (asysta), dr Emilia Kruk (asysta). Znieczulenie zrobiła dr Jolanta Piwowarska.
Wątrobę, pobraną od dawcy zmarłego przez dr. Rafała Stankiewicza (operator) i dr. Mateusza Bartkowiaka (asysta), podzielił prof. Waldemar Patkowski w asyście dr. Pawła Rykowskiego. Zespół pielęgniarski zaangażowany w przeszczepienie obejmował pielęgniarki instrumentalne i anestetyczne Annę Wąsik, Katarzynę Wójcik, Karolinę Kiełek, Marzenę Kaczmarską, Joannę Petrykę (instrumentariuszki) oraz Joannę Kosińską, Patrycję Figarską, Agatę Małek, Weronikę Karnkowską (anestetyczki). Procedurę koordynował Krzysztof Zając.