
Houston, mamy problem
Ministerstwo Zdrowia Francji poinformowało, że we wtorek zmarł pacjent zarażony nową odmianą koronawirusa.
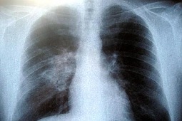
Wirus podobny do tych, które wywołują SARS i przeziębienia, pojawił się w zeszłym roku. Na całym świecie zmarło 23 z 44 zarażonych. W większości były to osoby, które podróżowały na Bliski Wschód. Zmarły we wtorek 65-latek niedawno wrócił z Dubaju. Wirus powoduje zapalenie płuc i czasami niewydolność wielonarządową.
Dotychczas zarażenie nowym koronawirusem zdiagnozowano w Jordanii, Katarze, Arabii Saudyjskiej, Zjednoczonych Emiratach Arabskich, Francji, Niemczech, Tunezji i Wielkiej Brytanii. Połowa z 44 chorych pochodzi jednak z Arabii Saudyjskiej.
W oświadczeniu, jakie wydała Światowa Organizacja Zdrowia, stwierdzono, że „największym problemem jest potencjał nowego wirusa w rozprzestrzenianiu się. Dlatego szczególną uwagę należy zwrócić na fakt, że koronarowirusem można się zarazić poprzez kontakt z innymi osobami”. Jako przykład podano śmierć trojga członków rodziny z Birmingham - tylko jedno z nich podróżowało do Pakistanu.
Dotychczas zarażenie nowym koronawirusem zdiagnozowano w Jordanii, Katarze, Arabii Saudyjskiej, Zjednoczonych Emiratach Arabskich, Francji, Niemczech, Tunezji i Wielkiej Brytanii. Połowa z 44 chorych pochodzi jednak z Arabii Saudyjskiej.
W oświadczeniu, jakie wydała Światowa Organizacja Zdrowia, stwierdzono, że „największym problemem jest potencjał nowego wirusa w rozprzestrzenianiu się. Dlatego szczególną uwagę należy zwrócić na fakt, że koronarowirusem można się zarazić poprzez kontakt z innymi osobami”. Jako przykład podano śmierć trojga członków rodziny z Birmingham - tylko jedno z nich podróżowało do Pakistanu.