FDA zatwierdza Vibativ na bakteryjne zapalenie płuc
Food and Drug Administration dzisiaj rozszerzyła możliwość stosowania antybiotyku Vibativ (telawancyna) u pacjentów hospitalizowanych z powodu bakteryjnego zapalenia płuc.
Bezpieczeństwo i skuteczność Vibativu w leczeniu HABP / VABP oceniano w przypadkach 1532 pacjentów włączonych do dwóch badań klinicznych.
Zapalenie płuc polega na powstaniu stanu zapalnego miąższu płucnego. Może występować zarówno u ludzi, jak i u zwierząt.
Zapalenie płuc może występować samoistnie lub jako wynik powikłań chorób zakaźnych takich jak świnka, różyczka lub grypa.
Bakterie są najczęstszym czynnikiem etiologicznym zapaleń płuc.
Ten rodzaj zapalenia płuc może być wywołany przez różne bakterie. Należą do nich:
- bakterie tlenowe – Gram dodatnie
- bakterie tlenowe – Gram ujemne
- bakterie beztlenowe
Podział zapalenia płuc na wirusowe i bakteryjne zależy od czynnika etiologicznego. Rozpoznanie konkretnego rodzaju zapalenia płuc ma istotne znaczenie w leczeniu. Ze względu na czynnik etiologiczny wyróżniamy także takie rodzaje zapalenia płuc jak grzybicze czy pasożytnicze.
W miąższu płucnym powstają nacieki zapalne a w pęcherzykach płucnych pojawia się wysięk. Dzieje się to na skutek działania różnych czynników biologicznych.
Jednym z kryteriów, według których dzielimy zapalenie płuc możemy jest miejsce oraz sposób nabycia infekcji. Według tych kryteriów wyróżniamy zapalenia płuc pozaszpitalne, czyli środowiskowe i zapalenia szpitalne rozwijające się po ponad 2 dobach od chwili przyjęcia do szpitala.
Środowiskowe zapalenia płuc występują częściej, należą do grupy potencjalnie niebezpiecznych chorób infekcyjnych o dużym znaczeniu ekonomicznym. W ciągu roku taki rodzaj zapalenia płuc pojawia się na 1000 osób w od 1 do 30 przypadków. Pozaszpitalne zapalenie płuc zależy od wieku, stanu immunologicznego, obecności chorób współistniejących.
Możemy też wyróżnić różne typy zapalenia płuc, w zależności od tego, gdzie występuje stan zapalny miąższu płucnego, czyli pod względem anatomicznym:
- Odoskrzelowe = wieloogniskowe = ogniskowe = płacikowe
- Śródmiąższowe = atypowe
- płatowe = krupowe
Każdy rodzaj zapalenia wymaga innego leczenia.
Objawy:
- znaczny wzrost temperatury utrzymujący się przez tydzień
- objawy ogólnego rozbicia
- suchy kaszel a następnie wilgotny z odkrztuszaniem śluzowej lub ropnej wydzieliny
- bóle w klatce piersiowej przy oddychaniu
- osłabienie
- bóle mięśni
- zlewne poty
- duszność o różnym stopniu nasilenia
- niekiedy krwioplucie
- podwyższone OB, CRP i leukocytoza
- odmłodzenie granulocytów
- czasem niedokrwistość
- zaburzenia utlenowania krwi
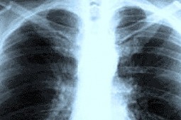
- W RTG – plamiste i zlewające się zaciemnienia, jednolite zacienienia płata oraz obecność płynu w jamie opłucnej.
Czasami trudno jest odróżnić zapalenie płuc od ciężkiej niewydolności krążenia. Ogólnie osłabiony organizm mimo ciężkiej choroby może nie reagować gorączką.
Bakteryjne zapalenie płuc może też występować wtórnie, jako następstwo wirusowego zapalenia płuc.
Leczenie
Znacznie łatwiej jest zapobiegać niż leczyć ten rodzaj zapalenia płuc. Zapobieganie polega głównie na stosowaniu szczepień przeciwgrypowych oraz utrzymaniu organizmu w dobrej kondycji fizycznej.
Leczenie polega na stosowaniu antybiotyków, które cechują się szerokim zakresem działania. Następnie (w późniejszym okresie leczenia) stosowana jest antybiotykoterapia, która celowana jest na podstawie antybiogramu a także leki zmniejszające inne występujące objawy. Do takich leków należą leki przeciwbólowe, przeciwgorączkowe, wykrztuśne oraz przeciwkaszlowe.
Zapalenie płuc polega na powstaniu stanu zapalnego miąższu płucnego. Może występować zarówno u ludzi, jak i u zwierząt.
Zapalenie płuc może występować samoistnie lub jako wynik powikłań chorób zakaźnych takich jak świnka, różyczka lub grypa.
Bakterie są najczęstszym czynnikiem etiologicznym zapaleń płuc.
Ten rodzaj zapalenia płuc może być wywołany przez różne bakterie. Należą do nich:
- bakterie tlenowe – Gram dodatnie
- bakterie tlenowe – Gram ujemne
- bakterie beztlenowe
Podział zapalenia płuc na wirusowe i bakteryjne zależy od czynnika etiologicznego. Rozpoznanie konkretnego rodzaju zapalenia płuc ma istotne znaczenie w leczeniu. Ze względu na czynnik etiologiczny wyróżniamy także takie rodzaje zapalenia płuc jak grzybicze czy pasożytnicze.
W miąższu płucnym powstają nacieki zapalne a w pęcherzykach płucnych pojawia się wysięk. Dzieje się to na skutek działania różnych czynników biologicznych.
Jednym z kryteriów, według których dzielimy zapalenie płuc możemy jest miejsce oraz sposób nabycia infekcji. Według tych kryteriów wyróżniamy zapalenia płuc pozaszpitalne, czyli środowiskowe i zapalenia szpitalne rozwijające się po ponad 2 dobach od chwili przyjęcia do szpitala.
Środowiskowe zapalenia płuc występują częściej, należą do grupy potencjalnie niebezpiecznych chorób infekcyjnych o dużym znaczeniu ekonomicznym. W ciągu roku taki rodzaj zapalenia płuc pojawia się na 1000 osób w od 1 do 30 przypadków. Pozaszpitalne zapalenie płuc zależy od wieku, stanu immunologicznego, obecności chorób współistniejących.
Możemy też wyróżnić różne typy zapalenia płuc, w zależności od tego, gdzie występuje stan zapalny miąższu płucnego, czyli pod względem anatomicznym:
- Odoskrzelowe = wieloogniskowe = ogniskowe = płacikowe
- Śródmiąższowe = atypowe
- płatowe = krupowe
Każdy rodzaj zapalenia wymaga innego leczenia.
Objawy:
- znaczny wzrost temperatury utrzymujący się przez tydzień
- objawy ogólnego rozbicia
- suchy kaszel a następnie wilgotny z odkrztuszaniem śluzowej lub ropnej wydzieliny
- bóle w klatce piersiowej przy oddychaniu
- osłabienie
- bóle mięśni
- zlewne poty
- duszność o różnym stopniu nasilenia
- niekiedy krwioplucie
- podwyższone OB, CRP i leukocytoza
- odmłodzenie granulocytów
- czasem niedokrwistość
- zaburzenia utlenowania krwi
- W RTG – plamiste i zlewające się zaciemnienia, jednolite zacienienia płata oraz obecność płynu w jamie opłucnej.
Czasami trudno jest odróżnić zapalenie płuc od ciężkiej niewydolności krążenia. Ogólnie osłabiony organizm mimo ciężkiej choroby może nie reagować gorączką.
Bakteryjne zapalenie płuc może też występować wtórnie, jako następstwo wirusowego zapalenia płuc.
Leczenie
Znacznie łatwiej jest zapobiegać niż leczyć ten rodzaj zapalenia płuc. Zapobieganie polega głównie na stosowaniu szczepień przeciwgrypowych oraz utrzymaniu organizmu w dobrej kondycji fizycznej.
Leczenie polega na stosowaniu antybiotyków, które cechują się szerokim zakresem działania. Następnie (w późniejszym okresie leczenia) stosowana jest antybiotykoterapia, która celowana jest na podstawie antybiogramu a także leki zmniejszające inne występujące objawy. Do takich leków należą leki przeciwbólowe, przeciwgorączkowe, wykrztuśne oraz przeciwkaszlowe.
Źródło:
FDA, JS
FDA, JS