Terapia estrogenowa może zapobiegać chorobom dziąseł u kobiet po menopauzie
Badania wykazują, że leczenie osteoporozy zmniejsza ryzyko wystąpienia poważnego zapalenia przyzębia o prawie 50 procent u kobiet w okresie pomenopauzalnym.
Badania wykazały, że kobiety w wieku powyżej 50 lat, leczone estrogenem w osteoporozie są o 44 procent mniej narażone na poważne zapalenie przyzębia niż kobiety, które nie otrzymały takiego leczenia.
Chociaż wcześniejsze badania analizowały związek między osteoporozą a utratą zębów, niewiele było takich, które analizowały związek między terapią estrogenową i zapaleniem przyzębia, chorobą, która może doprowadzić do utraty zębów i zniszczenia kości szczękowej.
Badanie analizujące związek między leczeniem osteoporozy, a poważnym zapaleniem przyzębia u kobiet w okresie pomenopauzalnym prowadzono na Uniwersytecie Bahia w Brazylii i opublikowano je w lipcowym wydaniu Journal of North American Menopause Society .
W badaniu uczestniczyło blisko 500 kobiet po menopauzie, u 356 z nich rozpoznano osteoporozę i 113 zdecydowało się na leczenie estrogenami.Kobiety podzielono na dwie kategorie: z terapią estrogenami przez
co najmniej sześć miesięcy i bez leczenia estrogenami.
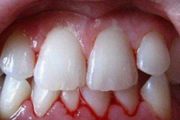
Naukowcy odkryli, że kobiety otrzymujące leczenie miały mniejsze przestrzenie między zębami i mniejszą podatność na choroby przyzębia oraz mniejszą podatność na krwawienia z dziąseł, niż te, które nie otrzymywały leczenia.
Pomimo dowodów, na to że estrogeny odgrywają znaczącą rolę w utrzymaniu zdrowych kości, terapia hormonalna okazała się również powodować działania niepożądane, takie jak zwiększanie ryzyka chorób serca i raka piersi.
Potrzebne są jednak dalsze badania, aby zrozumieć, czy zapobieganie i leczenie osteoporozy mogą również pomóc w zwalczaniu chorób przyzębia i utraty zębów.
Chociaż wcześniejsze badania analizowały związek między osteoporozą a utratą zębów, niewiele było takich, które analizowały związek między terapią estrogenową i zapaleniem przyzębia, chorobą, która może doprowadzić do utraty zębów i zniszczenia kości szczękowej.
Badanie analizujące związek między leczeniem osteoporozy, a poważnym zapaleniem przyzębia u kobiet w okresie pomenopauzalnym prowadzono na Uniwersytecie Bahia w Brazylii i opublikowano je w lipcowym wydaniu Journal of North American Menopause Society .
W badaniu uczestniczyło blisko 500 kobiet po menopauzie, u 356 z nich rozpoznano osteoporozę i 113 zdecydowało się na leczenie estrogenami.Kobiety podzielono na dwie kategorie: z terapią estrogenami przez
co najmniej sześć miesięcy i bez leczenia estrogenami.
Naukowcy odkryli, że kobiety otrzymujące leczenie miały mniejsze przestrzenie między zębami i mniejszą podatność na choroby przyzębia oraz mniejszą podatność na krwawienia z dziąseł, niż te, które nie otrzymywały leczenia.
Pomimo dowodów, na to że estrogeny odgrywają znaczącą rolę w utrzymaniu zdrowych kości, terapia hormonalna okazała się również powodować działania niepożądane, takie jak zwiększanie ryzyka chorób serca i raka piersi.
Potrzebne są jednak dalsze badania, aby zrozumieć, czy zapobieganie i leczenie osteoporozy mogą również pomóc w zwalczaniu chorób przyzębia i utraty zębów.
Źródło:
DS/AK
DS/AK
Kategorie:
Osteoporoza

