George Tsokos z nagrodą MERIT
George Tsokos, MD, dyrektor Oddziału Reumatologii w Beth Israel Deaconess Medical Center (BIDMC) otrzymał od National Institutes of Health (NIH) nagrodę MERIT.
-Nagrodę przyznano za wieloletnią pracę badawczą nad komórkami T-Cell i ich defektami prowadzącymi do rozwinięcia się tocznia rumieniowatego – pisze eurekalert.org.
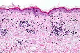
-George Tsokos jest pionierem w dziedzinie badań dotyczących tocznia rumieniowatego – zauważa Mark Zeidel, szef ds. medycznych Beth Israel Deaconess Medical Center. – Jego badania dostarczają kluczowych informacji na temat pochodzenia tej choroby – dodaje. (na zdj. mikrograf pokazujący zmiany, które mogą widziany w obrazie tocznia rumieniowatego)
Merit Award przedłuży prace Tsokosa w charakteryzowaniu biochemicznych i molekularnych zdarzeń, które prowadzą do zmniejszonej produkcji interleukiny 2 u pacjentów z toczniem.
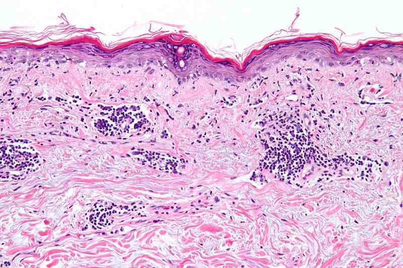
-George Tsokos jest pionierem w dziedzinie badań dotyczących tocznia rumieniowatego – zauważa Mark Zeidel, szef ds. medycznych Beth Israel Deaconess Medical Center. – Jego badania dostarczają kluczowych informacji na temat pochodzenia tej choroby – dodaje. (na zdj. mikrograf pokazujący zmiany, które mogą widziany w obrazie tocznia rumieniowatego)
Merit Award przedłuży prace Tsokosa w charakteryzowaniu biochemicznych i molekularnych zdarzeń, które prowadzą do zmniejszonej produkcji interleukiny 2 u pacjentów z toczniem.

