04.11.2019
Autor:
Alicja Kostecka
Źródło: www.sciencedirect.com/science/article/pii/S0022202X18329464
Zdrowie jamy ustnej u pacjentów z łuszczycą
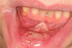
Od dawna wiadomo, że łuszczyca wiąże się z obecnością ognisk zapalnych, tlących się w różnych miejscach ludzkiego organizmu, zwłaszcza w jamie ustnej.
Do współistniejących z łuszczycą należą przede wszystkim różne postaci chorób przyzębia.
Badacze z zespołu Woeste et al. porównali grupę 100 chorych z łuszczycą z kontrolną populacją 101 zdrowych osób. W ocenie obecności chorób przyzębia wykorzystano test Bleeding on probing, wskaźnik COI oraz parametry zębowe takie, jak DMFT.
Wyniki badania dostarczyły dowodów na znacznie wyższą częstość chorób przyzębia u pacjentów łuszczycowych, co znalazło odzwierciedlenie w wyżej wymienionych testach.
Badacze sugerują zasadność częstego i regularnego odwiedzania stomatologa jako niezbędnego warunku w prawidłowym i skutecznym leczeniu przewlekłych chorób skóry.
Badacze z zespołu Woeste et al. porównali grupę 100 chorych z łuszczycą z kontrolną populacją 101 zdrowych osób. W ocenie obecności chorób przyzębia wykorzystano test Bleeding on probing, wskaźnik COI oraz parametry zębowe takie, jak DMFT.
Wyniki badania dostarczyły dowodów na znacznie wyższą częstość chorób przyzębia u pacjentów łuszczycowych, co znalazło odzwierciedlenie w wyżej wymienionych testach.
Badacze sugerują zasadność częstego i regularnego odwiedzania stomatologa jako niezbędnego warunku w prawidłowym i skutecznym leczeniu przewlekłych chorób skóry.
Kategorie:
Łuszczyca


