Zapalenie mózgu i rdzenia kręgowego związane z reumatoidalnym zapaleniem stawów
Na łamach „Folia Neuropathologica” opisano przypadek trudnej i kontrowersyjnej jednostki chorobowej – zapalenia mózgu związanego z RZS. U pacjentki z wieloletnim RZS wystąpiły postępujące zaburzenia świadomości. Rozpoznanie potwierdzono w pośmiertnym badaniu neuropatologicznym.
Zapalenie mózgu (zapalenie mózgu i rdzenia) w przebiegu reumatoidalnego zapalenia stawów (RZS) pozostaje kwestią dyskusyjną. W pracy przedstawiono przypadek zapalenia mózgu i rdzenia kręgowego związanego z RZS potwierdzony pośmiertnym badaniem neuropatologicznym.
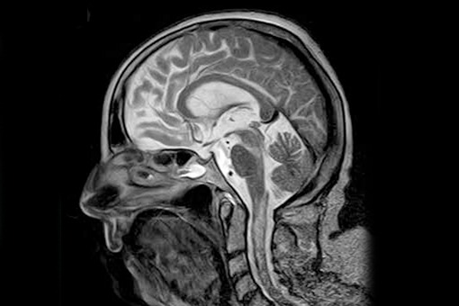
U 68-letniej pacjentki z wieloletnim wywiadem seropozytywnego RZS wystąpiły postępujące zaburzenia świadomości. Rezonans magnetyczny (MRI) mózgu i kręgosłupa szyjnego wykazał wzrost intensywności sygnału w obrazach T2-zależnych i FLAIR (fluid attenuated inversion recovery) z korespondującym ograniczeniem dyfuzji wody w DWI w konarach mózgu, moście, rdzeniu przedłużonym i szyjnym odcinku rdzenia kręgowego oraz łagodne wzmocnienie po podaniu kontrastu w prawym konarze mózgu. Rozległa diagnostyka radiologiczna i laboratoryjna, w tym przeciwciała onkoneuronalne i przeciw neuronalnym antygenom powierzchniowym, była ujemna, z wyjątkiem podwyższonego czynnika reumatoidalnego. Badanie płynu mózgowo-rdzeniowego wykazało umiarkowaną pleocytozę z przewagą komórek jednojądrzastych, nieznacznie podwyższony poziom białka, ujemne PCR w kierunku wirusów, jałowe posiewy bakteryjne, negatywną cytometrię przepływową, brak przeciwciał przeciw neuronalnym antygenom powierzchniowym.
Pomimo intensywnego leczenia kortykosteroidami, antybiotykami, lekami przeciwwirusowymi i dożylnymi immunoglobulinami chora zmarła po 3 miesiącach hospitalizacji. Pośmiertne badanie neuropatologiczne wykazało liczne, rozsiane, powstałe w różnym czasie zmiany niedokrwienne, sporadycznie z wtórnym ukrwotocznieniem, głównie w pniu mózgu, oraz rozległe, rozlane nacieki zapalne z mikrogleju i limfocytów T z towarzyszącą utratą neuronów i astroglejozą, największe w płacie czołowym i skroniowym. Łagodne okołonaczyniowe nacieki zapalne z limfocytów T obejmowały w szczególności małe i średnie naczynia i były związane ze zmianami niedokrwiennymi pnia mózgu. Wynik badania neuropatologicznego potwierdził rozpoznanie zapalenia mózgu i rdzenia kręgowego, co w połączeniu z przebiegiem klinicznym może sugerować związek z RZS.
Zapalenie mózgu i rdzenia kręgowego w przebiegu RZS pozostaje trudną i kontrowersyjną jednostką chorobową, która wymaga dalszych badań i ustalenia skutecznych metod diagnostycznych i procedur terapeutycznych.
Pełna treść artykułu:Albert Acewicz, Teresa Wierzba-Bobrowicz, Łukasz Michałowski, Mariola Pęcak, Sylwia Tarka, Dominik Chutorański, Tomasz Stępień, Paulina Felczak, Katarzyna Sklinda, Anna Nasierowska-Guttmejer, Małgorzata Dorobek: Encephalomyelitis associated with rheumatoid arthritis: a case report
U 68-letniej pacjentki z wieloletnim wywiadem seropozytywnego RZS wystąpiły postępujące zaburzenia świadomości. Rezonans magnetyczny (MRI) mózgu i kręgosłupa szyjnego wykazał wzrost intensywności sygnału w obrazach T2-zależnych i FLAIR (fluid attenuated inversion recovery) z korespondującym ograniczeniem dyfuzji wody w DWI w konarach mózgu, moście, rdzeniu przedłużonym i szyjnym odcinku rdzenia kręgowego oraz łagodne wzmocnienie po podaniu kontrastu w prawym konarze mózgu. Rozległa diagnostyka radiologiczna i laboratoryjna, w tym przeciwciała onkoneuronalne i przeciw neuronalnym antygenom powierzchniowym, była ujemna, z wyjątkiem podwyższonego czynnika reumatoidalnego. Badanie płynu mózgowo-rdzeniowego wykazało umiarkowaną pleocytozę z przewagą komórek jednojądrzastych, nieznacznie podwyższony poziom białka, ujemne PCR w kierunku wirusów, jałowe posiewy bakteryjne, negatywną cytometrię przepływową, brak przeciwciał przeciw neuronalnym antygenom powierzchniowym.
Pomimo intensywnego leczenia kortykosteroidami, antybiotykami, lekami przeciwwirusowymi i dożylnymi immunoglobulinami chora zmarła po 3 miesiącach hospitalizacji. Pośmiertne badanie neuropatologiczne wykazało liczne, rozsiane, powstałe w różnym czasie zmiany niedokrwienne, sporadycznie z wtórnym ukrwotocznieniem, głównie w pniu mózgu, oraz rozległe, rozlane nacieki zapalne z mikrogleju i limfocytów T z towarzyszącą utratą neuronów i astroglejozą, największe w płacie czołowym i skroniowym. Łagodne okołonaczyniowe nacieki zapalne z limfocytów T obejmowały w szczególności małe i średnie naczynia i były związane ze zmianami niedokrwiennymi pnia mózgu. Wynik badania neuropatologicznego potwierdził rozpoznanie zapalenia mózgu i rdzenia kręgowego, co w połączeniu z przebiegiem klinicznym może sugerować związek z RZS.
Zapalenie mózgu i rdzenia kręgowego w przebiegu RZS pozostaje trudną i kontrowersyjną jednostką chorobową, która wymaga dalszych badań i ustalenia skutecznych metod diagnostycznych i procedur terapeutycznych.
Pełna treść artykułu:Albert Acewicz, Teresa Wierzba-Bobrowicz, Łukasz Michałowski, Mariola Pęcak, Sylwia Tarka, Dominik Chutorański, Tomasz Stępień, Paulina Felczak, Katarzyna Sklinda, Anna Nasierowska-Guttmejer, Małgorzata Dorobek: Encephalomyelitis associated with rheumatoid arthritis: a case report

