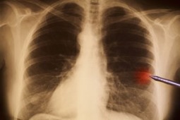
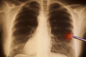
Aprepitant zmniejsza nasilenie kaszlu u chorych na raka płuca
Wyniki pierwszego badania oceniającego przydatność antagonisty receptora NK-1 w łagodzeniu kaszlu
Kaszel jest złożonym objawem występującym w wielu chorobach układu oddechowego, przy czym u chorych na raka płuca może w istotnym stopniu ograniczać jakość życia. Na podstawie obserwacji u zwierząt rozpoczęto badania u ludzi mające na celu ocenę skuteczności leczenia kaszlu poprzez wpływ na czynność neurokinin.
Aprepitant jest lekiem zarejestrowanym do leczenia indukowanych chemioterapią nudności i wymiotów, a przedstawione badanie było pierwszym oceniającym jego przydatność jako leku przeciwkaszlowego. Aprepitant jest centralnie działającym antagonistą receptora neurokininy-1 (NK-1). Do przedstawionego, podwójnie zaślepionego, jednoramiennego badania klinicznego z kontrolą placebo włączono chorych na raka płuca z kaszlem o dużym nasileniu. Chorzy otrzymywali aprepitant w dawce 125 mg pierwszego dnia, a następnie 80 mg w drugim i trzecim dniu, albo odpowiadające dawki placebo. Po trzydniowej przerwie dokonywano zamiany grup terapeutycznych (dni 7-9). Przez 24 godziny przed podaniem leku aktywnego lub placebo oraz w trakcie badania chorzy nosili specjalne urządzenie rejestrujące liczbę epizodów kaszlu na godzinę. Urządzenie to noszone przez chorych w pasie przypominało saszetkę i zostało zarejestrowane przez FDA. Niewielki mikrofon przypięty do ubrania umożliwiał ambulatoryjne monitorowanie kaszlu. Chorzy wypełniali też odpowiednio zwalidowane kwestionariusze dotyczące nasilenia objawów oraz działań niepożądanych.
Początkowe nasilenie kaszlu wyniosło 15,9/godzinę, 16,2 u chorych otrzymujących placebo i 12,8 u chorych otrzymujących aprepitant (p=0,003). Aprepitant poprawił też wyniki oceniane na podstawie wypełnianych przez chorych kwestionariuszy. Jak podkreślili badacze, efekt był umiarkowany, niemniej jednak subiektywne odczucia chorych uległy poprawie w zakresie wszystkich czterech ocenianych kategorii.
Podsumowując badanie podkreślono, że dotyczy ono objawu o istotnym wpływie na jakość życia chorych. Szczególnie fascynująca dla badaczy okazała się możliwość zastosowania leku przeciwwymiotnego do leczenia kaszlu. Ta niezwykle interesująca koncepcja wymaga jednak przeprowadzenia dalszych badań.
Aprepitant jest lekiem zarejestrowanym do leczenia indukowanych chemioterapią nudności i wymiotów, a przedstawione badanie było pierwszym oceniającym jego przydatność jako leku przeciwkaszlowego. Aprepitant jest centralnie działającym antagonistą receptora neurokininy-1 (NK-1). Do przedstawionego, podwójnie zaślepionego, jednoramiennego badania klinicznego z kontrolą placebo włączono chorych na raka płuca z kaszlem o dużym nasileniu. Chorzy otrzymywali aprepitant w dawce 125 mg pierwszego dnia, a następnie 80 mg w drugim i trzecim dniu, albo odpowiadające dawki placebo. Po trzydniowej przerwie dokonywano zamiany grup terapeutycznych (dni 7-9). Przez 24 godziny przed podaniem leku aktywnego lub placebo oraz w trakcie badania chorzy nosili specjalne urządzenie rejestrujące liczbę epizodów kaszlu na godzinę. Urządzenie to noszone przez chorych w pasie przypominało saszetkę i zostało zarejestrowane przez FDA. Niewielki mikrofon przypięty do ubrania umożliwiał ambulatoryjne monitorowanie kaszlu. Chorzy wypełniali też odpowiednio zwalidowane kwestionariusze dotyczące nasilenia objawów oraz działań niepożądanych.
Początkowe nasilenie kaszlu wyniosło 15,9/godzinę, 16,2 u chorych otrzymujących placebo i 12,8 u chorych otrzymujących aprepitant (p=0,003). Aprepitant poprawił też wyniki oceniane na podstawie wypełnianych przez chorych kwestionariuszy. Jak podkreślili badacze, efekt był umiarkowany, niemniej jednak subiektywne odczucia chorych uległy poprawie w zakresie wszystkich czterech ocenianych kategorii.
Podsumowując badanie podkreślono, że dotyczy ono objawu o istotnym wpływie na jakość życia chorych. Szczególnie fascynująca dla badaczy okazała się możliwość zastosowania leku przeciwwymiotnego do leczenia kaszlu. Ta niezwykle interesująca koncepcja wymaga jednak przeprowadzenia dalszych badań.
Źródło:
Palliative Care in Oncology Symposium (PCOS) 2015: Abstrakt 2. Zaprezentowano 10 października 2015
Palliative Care in Oncology Symposium (PCOS) 2015: Abstrakt 2. Zaprezentowano 10 października 2015
