26.07.2021
Redaktor:
Arleta Czarnik
Skuteczne leczenie łuszczycopodobnych zmian skórnych indukowanych infliksimabem
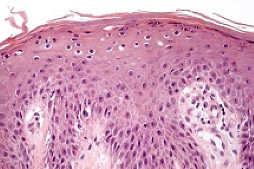
W „Pediatrii Polskiej” przedstawiono przypadek łuszczycopodobnych zmian skórnych indukowanych infliksimabem u 17-letniego chłopca z chorobą Leśniowskiego-Crohna i pierwotnym stwardniającym zapaleniem dróg żółciowych, skutecznie leczonych miejscowo.
Leczenie infliksimabem, blokerem czynnika martwicy nowotworów α (TNF-α), jest wysoce skuteczne w wielu chorobach zapalnych o podłożu immunologicznym, w tym w chorobie Leśniowskiego-Crohna i łuszczycy, zarówno u dorosłych, jak i u dzieci. W związku z coraz powszechniejszym i częstszym stosowaniem tego leku oraz dłuższym okresem obserwacji okazuje się, że niespodziewanym efektem niepożądanym stosowania infliksimabu są łuszczycopodobne zmiany skórne, które najczęściej występują w trakcie leczenia podtrzymującego.
W pracy przedstawiono przypadek wystąpienia łuszczycopodobnych zmian skórnych indukowanych infliksimabem u 17-letniego chłopca z chorobą Leśniowskiego-Crohna i pierwotnym stwardniającym zapaleniem dróg żółciowych. Zmiany zostały skutecznie wyleczone po zastosowaniu terapii miejscowej, mimo że konieczna była intensyfikacja terapii biologicznej z powodu tracenia odpowiedzi na infliksimab.
Pełna treść artykułu: Agata Wasilewska, Małgorzata Chmielowska-Trybek, Małgorzata Sładek. Successful treatment of infliximab-induced psoriasiform skin lesions despite biologic therapy intensification in a paediatric patient with Crohn’s disease and primary sclerosing cholangitis. Pediatr Pol 2021; 96 (2): 143-147.
W pracy przedstawiono przypadek wystąpienia łuszczycopodobnych zmian skórnych indukowanych infliksimabem u 17-letniego chłopca z chorobą Leśniowskiego-Crohna i pierwotnym stwardniającym zapaleniem dróg żółciowych. Zmiany zostały skutecznie wyleczone po zastosowaniu terapii miejscowej, mimo że konieczna była intensyfikacja terapii biologicznej z powodu tracenia odpowiedzi na infliksimab.
Pełna treść artykułu: Agata Wasilewska, Małgorzata Chmielowska-Trybek, Małgorzata Sładek. Successful treatment of infliximab-induced psoriasiform skin lesions despite biologic therapy intensification in a paediatric patient with Crohn’s disease and primary sclerosing cholangitis. Pediatr Pol 2021; 96 (2): 143-147.


