Skórna manifestacja chłoniaka z komórek płaszcza
Chłoniak z komórek płaszcza jest chorobą bardzo rzadko spotykaną w praktyce lekarza dermatologa. Objawy choroby, podobnie jak innych chłoniaków, mogą mieć bardzo różnorodny obraz kliniczny.
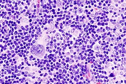
Chłoniak z komórek płaszcza (mantle cell lymphoma – MCL) jest rzadko występującą chorobą nowotworową układu chłonnego wywodzącą się z dojrzałych limfocytów B. Istotą jej powstania jest translokacja t(11;14)(q13;q32), która prowadzi do nadekspresji cykliny D1. Choroba często ma nawrotowy, agresywny przebieg. Zwykle rozpoznanie ustala się późno, już w zaawansowanym stadium. Chłoniak często zajmuje lokalizacje pozawęzłowe, zazwyczaj szpik kostny, układ pokarmowy, pierścień Waldeyera, ale wyjątkowo rzadko skórę.
Chociaż istnieje niewiele doniesień dotyczących skórnych manifestacji chłoniaka z komórek płaszcza, można podzielić je na: chłoniaka pierwotnie skórnego (zgodnie z kryteriami European Organization for Research and Treatment of Cancer – EORTC) oraz chłoniaka zajmującego skórę wtórnie do choroby o innej lokalizacji.
Opisany przypadek jest przykładem rozpoznania o poważnym rokowaniu, z pozornie niegroźnymi objawami klinicznymi. Ponadto potwierdza fakt konieczności wykonywania co najmniej badań podstawowych w przypadkach trudności diagnostycznych.
www.termedia.pl/Skorna-manifestacja-chloniaka-z-komorek-plaszcza-opis-przypadku-i-przeglad-pismiennictwa,56,31176,1,0.html
Chociaż istnieje niewiele doniesień dotyczących skórnych manifestacji chłoniaka z komórek płaszcza, można podzielić je na: chłoniaka pierwotnie skórnego (zgodnie z kryteriami European Organization for Research and Treatment of Cancer – EORTC) oraz chłoniaka zajmującego skórę wtórnie do choroby o innej lokalizacji.
Opisany przypadek jest przykładem rozpoznania o poważnym rokowaniu, z pozornie niegroźnymi objawami klinicznymi. Ponadto potwierdza fakt konieczności wykonywania co najmniej badań podstawowych w przypadkach trudności diagnostycznych.
www.termedia.pl/Skorna-manifestacja-chloniaka-z-komorek-plaszcza-opis-przypadku-i-przeglad-pismiennictwa,56,31176,1,0.html
Źródło:
PD/AK
PD/AK
