Manifestacje skórne wewnątrznaczyniowego chłoniaka z dużych komórek B
W przebiegu wewnątrznaczyniowego chłoniaka z dużych komórek B często występują objawy skórne. Ze względu na nieswoisty obraz kliniczny przypominający wiele dermatoz wskazana jest złożona diagnostyka różnicowa. W pracy opublikowanej w „Dermatology Review/Przeglądzie Dermatologicznym” opisano przypadek pacjentki z wewnątrznaczyniowym chłoniakiem z zajęciem skóry.
Autorzy: Agnieszka Maria Odziomek, Piotr Jarliński, Ewelina Rebizak, Jolanta Węgłowska
Wprowadzenie
Wewnątrznaczyniowy chłoniak z dużych komórek B (intravascular B-cell lymphoma – IVBCL) jest rzadki, częstość jego występowania szacuje się na mniej niż jeden przypadek na milion [1, 2]. Pierwotnie uważano, że nowotwór rozwija się z komórek śródbłonka, dopiero na podstawie badań immunohistochemicznych udowodniono jego limfoidalne pochodzenie [3]. W 2008 r. zdefiniowano chorobę jako wewnątrznaczyniowego chłoniaka z dużych komórek B [4], choć opisywano także pojedyncze przypadki wewnątrznaczyniowych chłoniaków z limfocytów T i komórek NK [5, 6].
Patogeneza wzrostu wyłącznie wewnątrz światła naczyń jest tłumaczona m.in. brakiem cząsteczek adhezyjnych [CD29 (β1-integryny) i CD54 (ICAM-1)] oraz zaburzeniami chemokin i ich receptorów (CXCR3 w obrębie limfocytów i CXCL9 w obrębie komórek śródbłonka) [7, 8]. Za brak zdolności do infiltracji tkanek pozanaczyniowych może odpowiadać brak ekspresji metaloproteinaz macierzy MMP-2 i MMP-9 [9].
Większość danych dotyczących IVBCL to opisy przypadków i analizy retrospektywne. Choroba występuje we wszystkich grupach wiekowych. Średni wiek w momencie rozpoznania to 64 lata, nieco częściej chorują mężczyźni [10]. Nie są znane czynniki ryzyka [11].
Obraz kliniczny jest nieswoisty. Objawy wynikają z zajęcia układu naczyniowego poszczególnych narządów. W literaturze wyróżnia się dwie postacie: klasyczną (zachodnią) – z dominującymi objawami skórnymi i ze strony ośrodkowego układu nerwowego, azjatycką – z zajęciem szpiku kostnego, wątroby i śledziony oraz zespołem hemofagocytarnym [1, 4, 12].
Częstość występowania objawów skórnych jest szacowana na 17–39% [6, 13]. Można do nich zaliczyć: teleangiektazje [14, 15], rumień stwardniały, bolesne guzki, zmiany obrączkowate, osutkę plamisto-grudkową [16], zapalenie tkanki podskórnej [16, 17], obrzęk limfatyczny kończyn dolnych [14], zmiany typu skórki pomarańczy [18], plamicę, owrzodzenia [16], naczyniaki gwiaździste. Niekiedy zmiany mogą przypominać zespół Sweeta, mięsak Kaposiego lub twardzinę ograniczoną [19]. Postać przebiegająca wyłącznie z zajęciem skóry lepiej rokuje [5, 20], jednak niektórzy autorzy negują jej istnienie [13].
Poza zmianami skórnymi występują objawy ze strony ośrodkowego układu nerwowego [2, 15, 21–24], układu pokarmowego [25, 26], układu oddechowego [27], moczowego [11, 23, 28], narządów rodnych [29], serca, stawów [12], narządu wzroku [30].
Wśród objawów ogólnych dominuje podwyższona temperatura ciała [5, 31, 32] i powiększenie śledziony [12, 33], natomiast powiększenie obwodowych węzłów chłonnych nie jest opisywane.
Najczęściej stwierdzane odchylenia w badaniach laboratoryjnych to niedokrwistość, małopłytkowość, hipoalbuminemia, duże stężenie ferrytyny oraz wysoka aktywność dehydrogenazy mleczanowej (lactate dehydrogenase – LDH) [12, 31].
Rozpoznanie ustala się zwykle w stadium zaawansowanym [3, 5], w ponad połowie przypadków pośmiertnie [10]. Łatwo dostępnym narzędziem diagnostycznym jest biopsja skóry, przez niektórych autorów zalecana w przypadku nieobecności zmian skórnych u osoby z podejrzeniem IVBCL [31, 33, 34]. Czułość i swoistość biopsji z przypadkowego miejsca są szacowane odpowiednio na 77,8% i 98,7% [35], nie wszyscy autorzy są zgodni co do tych wartości [36, 37], ale w ocenie większości wykonanie biopsji skóry może przyspieszyć rozpoznanie. Wycinek powinien być pobierany z miejsc, gdzie jest gruba tkanka tłuszczowa [31, 35] – z uda, ramienia, brzucha [35]. Ze względu na konieczność pobrania większej ilości tkanki tłuszczowej nie zawsze do postawienia diagnozy wystarcza materiał uzyskany metodą biopsji sztancowej [35]. Nową metodą diagnostyczną jest płynna biopsja, która pozwala ustalić obecność typowych mutacji w DNA wolno krążącym wyizolowanym z krwi obwodowej [38].
Rokowanie w IVBCL jest złe. Średni czas przeżycia od rozpoznania wynosi 7 miesięcy [10]. Leczeniem z wyboru jest chemioterapia. Najskuteczniejsze są schematy oparte na rytuksymabie [10].
Cel pracy
Celem pracy jest przedstawienie przypadku zajęcia skóry w przebiegu wewnątrznaczyniowego chłoniaka z dużych komórek B u 64-letniej kobiety.
Opis przypadku
Kobietę 64-letnią przyjęto na oddział dermatologiczny z powodu rozległych teleangiektazji, które wystąpiły 3 tygodnie przed hospitalizacją.
Pacjentka dotychczas nie chorowała przewlekle. Z powodu stwierdzonej przed 7 miesiącami niedokrwistości mikrocytarnej przeprowadzono diagnostykę na oddziale chorób wewnętrznych (badania laboratoryjne, endoskopowe przewodu pokarmowego i USG jamy brzusznej). Stwierdzono OB 70 mm/h i powiększenie śledziony. Skierowano pacjentkę do poradni hematologicznej. Ze względu na wysokie miano przeciwciał przeciwjądrowych (ANA 1 : 1000) kobieta została skierowana na oddział reumatologiczny, gdzie wykluczono chorobę tkanki łącznej, a z odchyleń w badaniach laboratoryjnych stwierdzono wysokie stężenie ferrytyny (1221 µg/l) i hipoalbuminemię (24,5 g/l). Z powodu narastającej niedokrwistości pacjentka została ponownie przyjęta na oddział chorób wewnętrznych, gdzie powtórzono diagnostykę endoskopową przewodu pokarmowego oraz poszerzono diagnostykę obrazową (CT jamy brzusznej i klatki piersiowej oraz USG sutków), nie stwierdzając odchyleń. W czasie hospitalizacji wystąpiły rozległe teleangiektazje, co przesądziło o skierowaniu na oddział dermatologiczny.
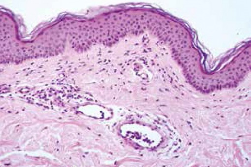
Podczas przyjęcia stwierdzono teleangiektazje na skórze klatki piersiowej, w okolicy lędźwiowej i na udach (ryc. 1). Skóra w miejscu zmian była nacieczona, ponadto występowały uogólnione obrzęki. Badania laboratoryjne wykazały niedokrwistość mikrocytarną (Hb 7,6 g/dl, MCV 74,8 fl) i małopłytkowość (74 tys./µl), wysoką aktywność LDH (1250 U/l). Pobrano biopsję sztancową skóry i biopsję aspiracyjną szpiku kostnego – wynik biopsji szpiku kostnego był prawidłowy, biopsja skóry potwierdziła rozpoznanie wewnątrznaczyniowego chłoniaka z dużych komórek B (ryc. 2–4). Po potwierdzeniu rozpoznania przekazano pacjentkę na oddział hematologii, zmarła 3 dni po rozpoczęciu chemioterapii.


Rycina 1. Rozległe teleangiektazje na skórze klatki piersiowej

Rycina 2. Komórki nowotworowe w świetle naczyń (hematoksylina-eozyna, 200×)

Rycina 3. Komórki nowotworowe w świetle naczyń. Badanie immunohistochemiczne: CD20(+), Bcl2(+), MUM1(+), CD5(+/–), CD3(–), CD10(–), CKED1/AE3(–), PAX(+), Bcl6(+), CD56(–),
CD246ALK(–), CD30(–), EBV(–) (400×)

Rycina 4. Komórki nowotworowe w świetle naczyń. Ki67 populacji wewnątrznaczyniowej ~ 80% (400×)
Wnioski
Rzadkie występowanie wewnątrznaczyniowego chłoniaka i jego nietypowy charakter są przyczyną późnego rozpoznawania choroby. Stosunkowo częste występowanie w jego przebiegu zmian skórnych i nieswoisty obraz kliniczny przypominający wiele dermatoz wymaga od dermatologów uwzględniania go w diagnostyce różnicowej, szczególnie w przypadku braku odpowiedzi na typowe leczenie i współistnienia innych objawów oraz odchyleń w badaniach dodatkowych.
Konflikt interesów
Autorzy nie zgłaszają konfliktu interesów.
Piśmiennictwo
1. Vásquez J., Romero V., Vilas P., Serra-Rexach J.A., Vidán M.T.: Progressive edemas and generalized telangiectasia: a presentation of intravascular B-cell lymphoma. Clin Case Rep 2014, 7, 2429-2432.
2. Kivity S., Shalmon B., Sidi Y.: Guillain-Barre syndrome: an unusual presentation of intravascular lymphoma. Isr Med Assoc J 2006, 8, 137-138.
3. Sheibani K., Battifora H., Winberg C.D., Burke S., Ben-Ezra J., Ellinger G.M., et al.: Further evidence that “malignant angioendotheliomatosis” is an angiotropic large-cell lymphoma. N Engl J Med 1986, 314, 943-948.
4. Orwat D.E., Batalis N.I.: Intravascular large B-cell lymphoma. Arch Pathol Lab Med 2012, 136, 333-338.
5. Au W.Y., Shek W.H.., Nicholls J., Tse K.M., Todd D., Kwong Y.L.: T-cell intravascular lymphomatosis (angiotropic large cell lymphoma): association with Epstein-Barr viral infection. Histopathology 1997, 31, 563-567.
6. Wu H., Said J.W., Ames E.D., Chen C., McWhorter V., Chen P., et al.: First reported cases of intravascular large cell lymphoma of the NK cell type: clinical, histologic, immunophenotypic, and molecular features. Am J Clin Pathol 2005, 123, 603-611.
7. Ponzoni M., Arrigoni G., Gould V.E., Del Curto B., Maggioni M., Scapinello A.: Lack of CD 29 (beta1 integrin) and CD 54 (ICAM-1) adhesion molecules in intravascular lymphomatosis. Hum Pathol 2000, 31, 220-226.
8. Kato M., Ohshima K., Mizuno M., Kyogoku M., Hashikawa K., Tokura Y., et al.: Analysis of CXCL9 and CXCR3 expression in a case of intravascular large B-cell lymphoma. J Am Acad Dermatol 2009, 61, 888-891.
9. Kinoshita M., Izumoto S., Hashimoto N., Kishima H., Kagawa N., Hashiba T., et al.: Immunohistochemical analysis of adhesion molecules and matrix metalloproteinases in malignant CNS lymphomas: a study comparing primary CNS malignant and CNS intravascular lymphomas. Brain Tumor Pathol 2008, 25, 73-78.
10. Fonkem E., Lok E., Robison D., Gautam S., Wong E.T.: The natural history of intravascular lymphomatosis. Cancer Med 2014, 4, 1010-1024.
11. Zuckerman D., Seliem R., Hochberg E.: Intravascular lymphoma: the oncologist’s “great imitator”. Oncologist 2006, 11, 496-502.
12. Yoon S.E., Kim W.S., Kim S.J.: Asian variant of intravascular large B-cell lymphoma: a comparison of clinical features based on involvement of the central nervous system. Korean J Intern Med 2019, 35, 946-956.
13. Brunet V., Marouan S., Routy J.P., Hashem M.A., Bernier V., Simard R., et al.: Retrospective study of intravascular large B-cell lymphoma cases diagnosed in Quebec: a retrospective study of 29 case reports. Medicine (Baltimore) 2017, 96, e5985.
14. Satoh S., Yamazaki M., Yahikozawa H., Ichikawa N., Saito H., Hanyuu N., et al.: Intravascular large B cell lymphoma diagnosed by senile angioma biopsy. Intern Med 2003, 42, 117-120.
15. Wolter M., Badoual C., Wechsler J., Lambolez T., Haioun C., Bouloc A., et al.: Intravascular large cell lymphoma revealed by diffuse telangiectasia and cauda equina syndrome. Ann Dermatol Venereol 2002, 129, 320-324.
16. Phoon Y.W., Lin X., Thirumoorthy T., Tan S.Y., Lee H.Y., Lim S.T., et al.: Intravascular large B-cell lymphoma presenting as panniculitis clinically: a case report. Singapore Med J 2018, 59, 163-164.
17. Maiolo C., Ibbetson S.J., Sidhu S.K., Kearney D.: Intravascular large B-cell lymphoma presenting as panniculitis. JAAD Case Rep 2017, 6, 536-538.
18. Herrscher H., Blind A., Freysz M., Cribier B., Mahé A.: Intravascular lymphoma simulating relapse of breast cancer: an original clinical case. Ann Dermatol Venereol 2019, 146, 292-296.
19. Ozgüroğlu E., Büyülbabani N., Ozgüroğlu M., Baykal C.: Generalized telangiectasia as the major manifestation of angiotropic (intravascular) lymphoma. Br J Dermatol 1997, 137, 422-425.
20. Ponzoni M., Campo E., Nakamura S.: Intravascular large B-cell lymphoma: a chameleon with multiple faces and many masks. Blood 2018, 132, 1561-1567.
21. Alon R., Shulman Z.: Chemokine triggered integrin activation and actin remodeling events guiding lymphocyte migration across vascular barriers. Exp Cell Res 2011, 317, 632-641.
22. Miyake Z., Tomidokoro Y., Tsurubuchi T., Matsumura A., Sakamoto N., Noguchi M., et al.: Intravascular large B-cell lymphoma presenting with hearing loss and dizziness: a case report. Medicine (Baltimore) 2019, 98, e14470.
23. Pothen L., Aydin S., Camboni A., Hainaut P.: Nephrotic syndrome without kidney injury revealing intravascular large B cell lymphoma. BMJ Case Rep 2019, 12, e229359.
24. Patel S., Li Y., Berchuck J.E., Cunningham J., Kim A., Pozdnyakova O.: Did you “miss” me? A subtle case of intravascular large B-cell lymphoma. Am J Hematol 2019, 94, 162-163.
25. Ronny F.M.H., Black M.A., Arbini A.A.: Intravascular large B-cell lymphoma with multi-organ failure presenting as a pancreatic mass: a case with atypical presentation and definite diagnosis post-mortem. Autops Case Rep 2017, 7, 30-36.
26. Kusunoki R., Fujishiro H., Yoshimura M., Sawada K., Suemitsu S., Kataoka M., et al.: Intravascular large B-cell lymphoma mimicking hepatobiliary infection: a case report and literature review. Intern Med 2019, 58, 1885-1889.
27. Aouba A., Diop S., Saadoun D., Trebbia G., Vilde F., Patri B., et al.: Severe pulmonary arterial hypertension as initial manifestation of intravascular lymphoma: case report. Am J Hematol 2005, 79, 46-49.
28. Fordham N.J., O’Connor S., Stern S., Nikolova V., Bain B.J.: Circulating lymphoma cells in intravascular large B-cell lymphoma. Am J Hematol 2017, 92, 311.
29. Balakrishna J.P., Jones D.: A young woman with intravascular large B-cell lymphoma in a benign-appearing endometrial polyp. Blood 2019, 133, 1920.
30. Kawai S., Okuda T., Fukui A., Sanada Y., Yoshikawa K., Morikawa M., et al.: Intravascular lymphoma presenting as a cavernous sinus tumor. Intern Med 2019, 15, 58.
31. Matsue K., Abe Y., Narita K., Kobayashi H., Kitadate A., Takeuchi M., et al.: Diagnosis of intravascular large B cell lymphoma: novel insights into clinicopathological features from 42 patients at a single institution over 20 years. Br J Haematol 2019, 187, 328-336.
32. Fozza C., Bonfigli S., Conti M., Dore F., Longinotti M.: Long-lasting fever of unknown origin preceding the diagnosis of intravascular lymphomatosis: a further case stimulates some remarks. Am J Hematol 2003, 74, 211-213.
33. Devitt K.A., Gardner J.A.: Intravascular large B-cell lymphoma: the great imitator. Autops Case Rep 2018, 30, e2018055.
34. Asada N., Odawara J., Kimura S., Aoki T., Yamakura M., Takeuchi M., et al.: Use of random skin biopsy for diagnosis of intravascular large B-cell lymphoma. Mayo Clin Proc 2007, 82, 1525-1527.
35. Matsue K., Abe Y., Kitadate A., Miura D., Narita K., Kobayashi H.: Sensitivity and specificity of incisional random skin biopsy for diagnosis of intravascular large B-cell lymphoma. Blood 2019, 133, 1257-1259.
36. Matsue K., Asada N., Odawara J., Aoki T., Kimura S., Iwama K., et al.: Random skin biopsy and bone marrow biopsy for diagnosis of intravascular large B cell lymphoma. Ann Hematol. 2011, 9, 417-21.
37. Cho H.G., Sheu S.L., Kuo K.Y., Ally M.S., Bailey E.E., Kim J., et al.: Limited role of random skin biopsy in the diagnosis of intravascular lymphoma in adult patients with hemophagocytic lymphohistiocytosis. Acta Haematol 2017, 138, 33-38.
38. Suehara Y., Sakata-Yanagimoto M., Hattori K., Nanmoku T., Itoh T., Kaji D., et al.: Liquid biopsy for the identification of intravascular large B-cell lymphoma. Haematologica 2018, 103, e241-e244.
Wprowadzenie
Wewnątrznaczyniowy chłoniak z dużych komórek B (intravascular B-cell lymphoma – IVBCL) jest rzadki, częstość jego występowania szacuje się na mniej niż jeden przypadek na milion [1, 2]. Pierwotnie uważano, że nowotwór rozwija się z komórek śródbłonka, dopiero na podstawie badań immunohistochemicznych udowodniono jego limfoidalne pochodzenie [3]. W 2008 r. zdefiniowano chorobę jako wewnątrznaczyniowego chłoniaka z dużych komórek B [4], choć opisywano także pojedyncze przypadki wewnątrznaczyniowych chłoniaków z limfocytów T i komórek NK [5, 6].
Patogeneza wzrostu wyłącznie wewnątrz światła naczyń jest tłumaczona m.in. brakiem cząsteczek adhezyjnych [CD29 (β1-integryny) i CD54 (ICAM-1)] oraz zaburzeniami chemokin i ich receptorów (CXCR3 w obrębie limfocytów i CXCL9 w obrębie komórek śródbłonka) [7, 8]. Za brak zdolności do infiltracji tkanek pozanaczyniowych może odpowiadać brak ekspresji metaloproteinaz macierzy MMP-2 i MMP-9 [9].
Większość danych dotyczących IVBCL to opisy przypadków i analizy retrospektywne. Choroba występuje we wszystkich grupach wiekowych. Średni wiek w momencie rozpoznania to 64 lata, nieco częściej chorują mężczyźni [10]. Nie są znane czynniki ryzyka [11].
Obraz kliniczny jest nieswoisty. Objawy wynikają z zajęcia układu naczyniowego poszczególnych narządów. W literaturze wyróżnia się dwie postacie: klasyczną (zachodnią) – z dominującymi objawami skórnymi i ze strony ośrodkowego układu nerwowego, azjatycką – z zajęciem szpiku kostnego, wątroby i śledziony oraz zespołem hemofagocytarnym [1, 4, 12].
Częstość występowania objawów skórnych jest szacowana na 17–39% [6, 13]. Można do nich zaliczyć: teleangiektazje [14, 15], rumień stwardniały, bolesne guzki, zmiany obrączkowate, osutkę plamisto-grudkową [16], zapalenie tkanki podskórnej [16, 17], obrzęk limfatyczny kończyn dolnych [14], zmiany typu skórki pomarańczy [18], plamicę, owrzodzenia [16], naczyniaki gwiaździste. Niekiedy zmiany mogą przypominać zespół Sweeta, mięsak Kaposiego lub twardzinę ograniczoną [19]. Postać przebiegająca wyłącznie z zajęciem skóry lepiej rokuje [5, 20], jednak niektórzy autorzy negują jej istnienie [13].
Poza zmianami skórnymi występują objawy ze strony ośrodkowego układu nerwowego [2, 15, 21–24], układu pokarmowego [25, 26], układu oddechowego [27], moczowego [11, 23, 28], narządów rodnych [29], serca, stawów [12], narządu wzroku [30].
Wśród objawów ogólnych dominuje podwyższona temperatura ciała [5, 31, 32] i powiększenie śledziony [12, 33], natomiast powiększenie obwodowych węzłów chłonnych nie jest opisywane.
Najczęściej stwierdzane odchylenia w badaniach laboratoryjnych to niedokrwistość, małopłytkowość, hipoalbuminemia, duże stężenie ferrytyny oraz wysoka aktywność dehydrogenazy mleczanowej (lactate dehydrogenase – LDH) [12, 31].
Rozpoznanie ustala się zwykle w stadium zaawansowanym [3, 5], w ponad połowie przypadków pośmiertnie [10]. Łatwo dostępnym narzędziem diagnostycznym jest biopsja skóry, przez niektórych autorów zalecana w przypadku nieobecności zmian skórnych u osoby z podejrzeniem IVBCL [31, 33, 34]. Czułość i swoistość biopsji z przypadkowego miejsca są szacowane odpowiednio na 77,8% i 98,7% [35], nie wszyscy autorzy są zgodni co do tych wartości [36, 37], ale w ocenie większości wykonanie biopsji skóry może przyspieszyć rozpoznanie. Wycinek powinien być pobierany z miejsc, gdzie jest gruba tkanka tłuszczowa [31, 35] – z uda, ramienia, brzucha [35]. Ze względu na konieczność pobrania większej ilości tkanki tłuszczowej nie zawsze do postawienia diagnozy wystarcza materiał uzyskany metodą biopsji sztancowej [35]. Nową metodą diagnostyczną jest płynna biopsja, która pozwala ustalić obecność typowych mutacji w DNA wolno krążącym wyizolowanym z krwi obwodowej [38].
Rokowanie w IVBCL jest złe. Średni czas przeżycia od rozpoznania wynosi 7 miesięcy [10]. Leczeniem z wyboru jest chemioterapia. Najskuteczniejsze są schematy oparte na rytuksymabie [10].
Cel pracy
Celem pracy jest przedstawienie przypadku zajęcia skóry w przebiegu wewnątrznaczyniowego chłoniaka z dużych komórek B u 64-letniej kobiety.
Opis przypadku
Kobietę 64-letnią przyjęto na oddział dermatologiczny z powodu rozległych teleangiektazji, które wystąpiły 3 tygodnie przed hospitalizacją.
Pacjentka dotychczas nie chorowała przewlekle. Z powodu stwierdzonej przed 7 miesiącami niedokrwistości mikrocytarnej przeprowadzono diagnostykę na oddziale chorób wewnętrznych (badania laboratoryjne, endoskopowe przewodu pokarmowego i USG jamy brzusznej). Stwierdzono OB 70 mm/h i powiększenie śledziony. Skierowano pacjentkę do poradni hematologicznej. Ze względu na wysokie miano przeciwciał przeciwjądrowych (ANA 1 : 1000) kobieta została skierowana na oddział reumatologiczny, gdzie wykluczono chorobę tkanki łącznej, a z odchyleń w badaniach laboratoryjnych stwierdzono wysokie stężenie ferrytyny (1221 µg/l) i hipoalbuminemię (24,5 g/l). Z powodu narastającej niedokrwistości pacjentka została ponownie przyjęta na oddział chorób wewnętrznych, gdzie powtórzono diagnostykę endoskopową przewodu pokarmowego oraz poszerzono diagnostykę obrazową (CT jamy brzusznej i klatki piersiowej oraz USG sutków), nie stwierdzając odchyleń. W czasie hospitalizacji wystąpiły rozległe teleangiektazje, co przesądziło o skierowaniu na oddział dermatologiczny.
Podczas przyjęcia stwierdzono teleangiektazje na skórze klatki piersiowej, w okolicy lędźwiowej i na udach (ryc. 1). Skóra w miejscu zmian była nacieczona, ponadto występowały uogólnione obrzęki. Badania laboratoryjne wykazały niedokrwistość mikrocytarną (Hb 7,6 g/dl, MCV 74,8 fl) i małopłytkowość (74 tys./µl), wysoką aktywność LDH (1250 U/l). Pobrano biopsję sztancową skóry i biopsję aspiracyjną szpiku kostnego – wynik biopsji szpiku kostnego był prawidłowy, biopsja skóry potwierdziła rozpoznanie wewnątrznaczyniowego chłoniaka z dużych komórek B (ryc. 2–4). Po potwierdzeniu rozpoznania przekazano pacjentkę na oddział hematologii, zmarła 3 dni po rozpoczęciu chemioterapii.


Rycina 1. Rozległe teleangiektazje na skórze klatki piersiowej

Rycina 2. Komórki nowotworowe w świetle naczyń (hematoksylina-eozyna, 200×)

Rycina 3. Komórki nowotworowe w świetle naczyń. Badanie immunohistochemiczne: CD20(+), Bcl2(+), MUM1(+), CD5(+/–), CD3(–), CD10(–), CKED1/AE3(–), PAX(+), Bcl6(+), CD56(–),
CD246ALK(–), CD30(–), EBV(–) (400×)

Rycina 4. Komórki nowotworowe w świetle naczyń. Ki67 populacji wewnątrznaczyniowej ~ 80% (400×)
Wnioski
Rzadkie występowanie wewnątrznaczyniowego chłoniaka i jego nietypowy charakter są przyczyną późnego rozpoznawania choroby. Stosunkowo częste występowanie w jego przebiegu zmian skórnych i nieswoisty obraz kliniczny przypominający wiele dermatoz wymaga od dermatologów uwzględniania go w diagnostyce różnicowej, szczególnie w przypadku braku odpowiedzi na typowe leczenie i współistnienia innych objawów oraz odchyleń w badaniach dodatkowych.
Konflikt interesów
Autorzy nie zgłaszają konfliktu interesów.
Piśmiennictwo
1. Vásquez J., Romero V., Vilas P., Serra-Rexach J.A., Vidán M.T.: Progressive edemas and generalized telangiectasia: a presentation of intravascular B-cell lymphoma. Clin Case Rep 2014, 7, 2429-2432.
2. Kivity S., Shalmon B., Sidi Y.: Guillain-Barre syndrome: an unusual presentation of intravascular lymphoma. Isr Med Assoc J 2006, 8, 137-138.
3. Sheibani K., Battifora H., Winberg C.D., Burke S., Ben-Ezra J., Ellinger G.M., et al.: Further evidence that “malignant angioendotheliomatosis” is an angiotropic large-cell lymphoma. N Engl J Med 1986, 314, 943-948.
4. Orwat D.E., Batalis N.I.: Intravascular large B-cell lymphoma. Arch Pathol Lab Med 2012, 136, 333-338.
5. Au W.Y., Shek W.H.., Nicholls J., Tse K.M., Todd D., Kwong Y.L.: T-cell intravascular lymphomatosis (angiotropic large cell lymphoma): association with Epstein-Barr viral infection. Histopathology 1997, 31, 563-567.
6. Wu H., Said J.W., Ames E.D., Chen C., McWhorter V., Chen P., et al.: First reported cases of intravascular large cell lymphoma of the NK cell type: clinical, histologic, immunophenotypic, and molecular features. Am J Clin Pathol 2005, 123, 603-611.
7. Ponzoni M., Arrigoni G., Gould V.E., Del Curto B., Maggioni M., Scapinello A.: Lack of CD 29 (beta1 integrin) and CD 54 (ICAM-1) adhesion molecules in intravascular lymphomatosis. Hum Pathol 2000, 31, 220-226.
8. Kato M., Ohshima K., Mizuno M., Kyogoku M., Hashikawa K., Tokura Y., et al.: Analysis of CXCL9 and CXCR3 expression in a case of intravascular large B-cell lymphoma. J Am Acad Dermatol 2009, 61, 888-891.
9. Kinoshita M., Izumoto S., Hashimoto N., Kishima H., Kagawa N., Hashiba T., et al.: Immunohistochemical analysis of adhesion molecules and matrix metalloproteinases in malignant CNS lymphomas: a study comparing primary CNS malignant and CNS intravascular lymphomas. Brain Tumor Pathol 2008, 25, 73-78.
10. Fonkem E., Lok E., Robison D., Gautam S., Wong E.T.: The natural history of intravascular lymphomatosis. Cancer Med 2014, 4, 1010-1024.
11. Zuckerman D., Seliem R., Hochberg E.: Intravascular lymphoma: the oncologist’s “great imitator”. Oncologist 2006, 11, 496-502.
12. Yoon S.E., Kim W.S., Kim S.J.: Asian variant of intravascular large B-cell lymphoma: a comparison of clinical features based on involvement of the central nervous system. Korean J Intern Med 2019, 35, 946-956.
13. Brunet V., Marouan S., Routy J.P., Hashem M.A., Bernier V., Simard R., et al.: Retrospective study of intravascular large B-cell lymphoma cases diagnosed in Quebec: a retrospective study of 29 case reports. Medicine (Baltimore) 2017, 96, e5985.
14. Satoh S., Yamazaki M., Yahikozawa H., Ichikawa N., Saito H., Hanyuu N., et al.: Intravascular large B cell lymphoma diagnosed by senile angioma biopsy. Intern Med 2003, 42, 117-120.
15. Wolter M., Badoual C., Wechsler J., Lambolez T., Haioun C., Bouloc A., et al.: Intravascular large cell lymphoma revealed by diffuse telangiectasia and cauda equina syndrome. Ann Dermatol Venereol 2002, 129, 320-324.
16. Phoon Y.W., Lin X., Thirumoorthy T., Tan S.Y., Lee H.Y., Lim S.T., et al.: Intravascular large B-cell lymphoma presenting as panniculitis clinically: a case report. Singapore Med J 2018, 59, 163-164.
17. Maiolo C., Ibbetson S.J., Sidhu S.K., Kearney D.: Intravascular large B-cell lymphoma presenting as panniculitis. JAAD Case Rep 2017, 6, 536-538.
18. Herrscher H., Blind A., Freysz M., Cribier B., Mahé A.: Intravascular lymphoma simulating relapse of breast cancer: an original clinical case. Ann Dermatol Venereol 2019, 146, 292-296.
19. Ozgüroğlu E., Büyülbabani N., Ozgüroğlu M., Baykal C.: Generalized telangiectasia as the major manifestation of angiotropic (intravascular) lymphoma. Br J Dermatol 1997, 137, 422-425.
20. Ponzoni M., Campo E., Nakamura S.: Intravascular large B-cell lymphoma: a chameleon with multiple faces and many masks. Blood 2018, 132, 1561-1567.
21. Alon R., Shulman Z.: Chemokine triggered integrin activation and actin remodeling events guiding lymphocyte migration across vascular barriers. Exp Cell Res 2011, 317, 632-641.
22. Miyake Z., Tomidokoro Y., Tsurubuchi T., Matsumura A., Sakamoto N., Noguchi M., et al.: Intravascular large B-cell lymphoma presenting with hearing loss and dizziness: a case report. Medicine (Baltimore) 2019, 98, e14470.
23. Pothen L., Aydin S., Camboni A., Hainaut P.: Nephrotic syndrome without kidney injury revealing intravascular large B cell lymphoma. BMJ Case Rep 2019, 12, e229359.
24. Patel S., Li Y., Berchuck J.E., Cunningham J., Kim A., Pozdnyakova O.: Did you “miss” me? A subtle case of intravascular large B-cell lymphoma. Am J Hematol 2019, 94, 162-163.
25. Ronny F.M.H., Black M.A., Arbini A.A.: Intravascular large B-cell lymphoma with multi-organ failure presenting as a pancreatic mass: a case with atypical presentation and definite diagnosis post-mortem. Autops Case Rep 2017, 7, 30-36.
26. Kusunoki R., Fujishiro H., Yoshimura M., Sawada K., Suemitsu S., Kataoka M., et al.: Intravascular large B-cell lymphoma mimicking hepatobiliary infection: a case report and literature review. Intern Med 2019, 58, 1885-1889.
27. Aouba A., Diop S., Saadoun D., Trebbia G., Vilde F., Patri B., et al.: Severe pulmonary arterial hypertension as initial manifestation of intravascular lymphoma: case report. Am J Hematol 2005, 79, 46-49.
28. Fordham N.J., O’Connor S., Stern S., Nikolova V., Bain B.J.: Circulating lymphoma cells in intravascular large B-cell lymphoma. Am J Hematol 2017, 92, 311.
29. Balakrishna J.P., Jones D.: A young woman with intravascular large B-cell lymphoma in a benign-appearing endometrial polyp. Blood 2019, 133, 1920.
30. Kawai S., Okuda T., Fukui A., Sanada Y., Yoshikawa K., Morikawa M., et al.: Intravascular lymphoma presenting as a cavernous sinus tumor. Intern Med 2019, 15, 58.
31. Matsue K., Abe Y., Narita K., Kobayashi H., Kitadate A., Takeuchi M., et al.: Diagnosis of intravascular large B cell lymphoma: novel insights into clinicopathological features from 42 patients at a single institution over 20 years. Br J Haematol 2019, 187, 328-336.
32. Fozza C., Bonfigli S., Conti M., Dore F., Longinotti M.: Long-lasting fever of unknown origin preceding the diagnosis of intravascular lymphomatosis: a further case stimulates some remarks. Am J Hematol 2003, 74, 211-213.
33. Devitt K.A., Gardner J.A.: Intravascular large B-cell lymphoma: the great imitator. Autops Case Rep 2018, 30, e2018055.
34. Asada N., Odawara J., Kimura S., Aoki T., Yamakura M., Takeuchi M., et al.: Use of random skin biopsy for diagnosis of intravascular large B-cell lymphoma. Mayo Clin Proc 2007, 82, 1525-1527.
35. Matsue K., Abe Y., Kitadate A., Miura D., Narita K., Kobayashi H.: Sensitivity and specificity of incisional random skin biopsy for diagnosis of intravascular large B-cell lymphoma. Blood 2019, 133, 1257-1259.
36. Matsue K., Asada N., Odawara J., Aoki T., Kimura S., Iwama K., et al.: Random skin biopsy and bone marrow biopsy for diagnosis of intravascular large B cell lymphoma. Ann Hematol. 2011, 9, 417-21.
37. Cho H.G., Sheu S.L., Kuo K.Y., Ally M.S., Bailey E.E., Kim J., et al.: Limited role of random skin biopsy in the diagnosis of intravascular lymphoma in adult patients with hemophagocytic lymphohistiocytosis. Acta Haematol 2017, 138, 33-38.
38. Suehara Y., Sakata-Yanagimoto M., Hattori K., Nanmoku T., Itoh T., Kaji D., et al.: Liquid biopsy for the identification of intravascular large B-cell lymphoma. Haematologica 2018, 103, e241-e244.
