Wyniki nowego badania, opublikowane w BMC Cancer wykazują zależność pomiędzy toksycznościami...
Wyniki najnowszego badania I fazy wykazały, że pembrolizumab, inhibitor zaprogramowanej śmierci...
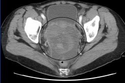
Przeprowadzone analizy u chorych na raka jajnika związanego z zespołem Lyncha (Lynch...
Podczas tegorocznego European Cancer Congress (ECCO 2017), który odbywał się w Amsterdamie,...
Jak wykazano w najnowszym obserwacyjnym badaniu klinicznym, chemioterapia uzupełniająca u chorych...
Jak wykazano w badaniu klinicznym DART, którego wyniki opublikowano w Clinical Cancer Research,...
Amerykańska Agencja Żywności i Leków (ang. American Food and Drug Administration, FDA) uznała, że...
Badanie kliniczne 3. fazy KEYNOTE-045 oceniające skuteczność i bezpieczeństwo pembrolizumabu,...
W niewielkim badaniu klinicznym 2. fazy wykazano, że skojarzenie nab-paklitakselu i nedaplatyny...
ASCO wydało nowe, globalne wytyczne dotyczące screeningu raka szyjki macicy. Oparte są na...
Nowe dane potwierdzają paradoks otyłości u chorych na przerzutowego raka nerki (ang. metastatic...
Pomimo iż częstość występowania zapalenia płuc związanego z leczeniem inhibitorami szlaku PD-1...
Lekarze z Kliniki Onkologii i Chirurgii Onkologicznej Dzieci i Młodzieży w Instytucie Matki i...
W lipcu Narodowy Fundusz Zdrowia rozpoczął finansowanie badań w ramach profilaktyki...
Od 1 kwietnia 2025 r. durwalumab z tremelimumabem i czterema cyklami chemioterapii jest nową...
Zapraszamy do udziału w najbliższych wydarzeniach poświęconych onkologii – zarówno...