Analiza neuropatologiczna mózgów pięćdziesięciu dwóch pacjentów z COVID-19
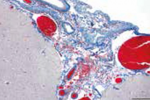
W badaniach histopatologicznych mózgów pacjentów z COVID-19 stwierdzono uszkodzenie ścian naczyń oraz cechy morfologiczne uszkodzenia bariery krew–mózg. Zaobserwowano również nacieki limfocytarne i mikroglejowe. Zmiany w mózgu spowodowane infekcją SARS-CoV-2 można nazwać angiopatią mózgową COVID-19 z rozlanym zapaleniem.
Mechanizmy odpowiedzialne za zajęcie ośrodkowego układu nerwowego i uszkodzenie mózgu przez SARS-CoV-2 są nadal niejasne. Główne hipotezy sugerują, że wirus może atakować ośrodkowy układ nerwowy drogą neuronalno-aksonalną lub poprzez układ krwionośny. Kluczową rolę odgrywają receptory enzymu konwertazy angiotensyny 2 (ACE2). W początkowych fazach zakażenia najważniejszą drogą wejścia wirusa do ośrodkowego układu nerwowego wydaje się opuszka węchowa. Podstawowymi mechanizmami prowadzącymi do wystąpienia zmian neuropatologicznych mogą zatem być neurotropizm i/lub bezpośrednia inwazja SARS-CoV-2 do ośrodkowego układu nerwowego, niedotlenienie mózgu oraz burza cytokinowa wywołana ogólnoustrojowym zapaleniem. Istnieją hipotezy, że SARS-CoV-2 może uczestniczyć w patogenezie chorób neurodegeneracyjnych.
W publikacji opisano zmiany neuropatologiczne w grupie 52 pacjentów z COVID-19. Kryteriami włączenia do badania były: dodatni wynik wymazu w kierunku RNA SARS-CoV-2 lub obecność nukleoprotein SARS-CoV-2 w tkance płucnej potwierdzone metodami immunohistochemicznymi.
Do badań histopatologicznych pobrano wycinki ze wszystkich struktur mózgu oraz z płuc. Materiał analizowano metodami histologicznymi, immunohistochemicznymi oraz za pomocą transmisyjnego mikroskopu elektronowego.
Badania potwierdziły liczne zmiany neuropatologiczne w mózgach pacjentów zakażonych SARS-CoV-2. Wydaje się, że zmiany naczyniowe i proces zapalny były charakterystyczne dla zakażenia SARS-CoV-2. Obserwowano również nieprawidłowości, które mogły być spowodowane chorobami współistniejącymi i/lub stosowanym leczeniem.
We wszystkich strukturach mózgów 52 pacjentów obserwowano uszkodzenie ścian naczyń oraz cechy morfologiczne uszkodzenia bariery krew–mózg. Zaobserwowano również nacieki limfocytarne i mikroglejowe zarówno okołonaczyniowe, jak i rozlane. Zmiany w mózgu spowodowane infekcją SARS-CoV-2 można nazwać angiopatią mózgową COVID-19 z rozlanym zapaleniem.
Pełna treść artykułu: Teresa Wierzba-Bobrowicz, Paweł Krajewski, Sylwia Tarka, Albert Acewicz, Paulina Felczak, Tomasz Stępień, Maciej P. Golan, Michał Grzegorczyk. Neuropathological analysis of the brains of fifty-two patients with COVID-19. Folia Neuropathologica 2021; 59 (3): 219-231.
W publikacji opisano zmiany neuropatologiczne w grupie 52 pacjentów z COVID-19. Kryteriami włączenia do badania były: dodatni wynik wymazu w kierunku RNA SARS-CoV-2 lub obecność nukleoprotein SARS-CoV-2 w tkance płucnej potwierdzone metodami immunohistochemicznymi.
Do badań histopatologicznych pobrano wycinki ze wszystkich struktur mózgu oraz z płuc. Materiał analizowano metodami histologicznymi, immunohistochemicznymi oraz za pomocą transmisyjnego mikroskopu elektronowego.
Badania potwierdziły liczne zmiany neuropatologiczne w mózgach pacjentów zakażonych SARS-CoV-2. Wydaje się, że zmiany naczyniowe i proces zapalny były charakterystyczne dla zakażenia SARS-CoV-2. Obserwowano również nieprawidłowości, które mogły być spowodowane chorobami współistniejącymi i/lub stosowanym leczeniem.
We wszystkich strukturach mózgów 52 pacjentów obserwowano uszkodzenie ścian naczyń oraz cechy morfologiczne uszkodzenia bariery krew–mózg. Zaobserwowano również nacieki limfocytarne i mikroglejowe zarówno okołonaczyniowe, jak i rozlane. Zmiany w mózgu spowodowane infekcją SARS-CoV-2 można nazwać angiopatią mózgową COVID-19 z rozlanym zapaleniem.
Pełna treść artykułu: Teresa Wierzba-Bobrowicz, Paweł Krajewski, Sylwia Tarka, Albert Acewicz, Paulina Felczak, Tomasz Stępień, Maciej P. Golan, Michał Grzegorczyk. Neuropathological analysis of the brains of fifty-two patients with COVID-19. Folia Neuropathologica 2021; 59 (3): 219-231.
