Specjalizacje, Kategorie, Działy

Przerzutowy rak jelita grubego - opis przypadku

Udostępnij:
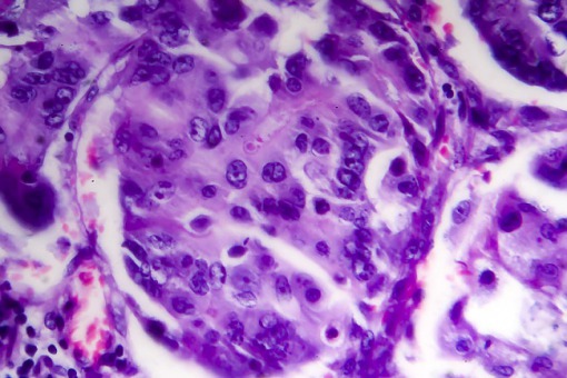
59-letni mężczyzna z przerzutowym rakiem jelita grubego miał różowe, jędrne zmiany skórne wokół blizny chirurgicznej brzucha. Biopsja potwierdziła przerzuty skórne.
Na łamach The New England Journal of Medicine opublikowano przypadek, 59-letniego mężczyzny z przerzutowym rakiem okrężnicy skierowanego do kliniki dermatologicznej z podejrzeniem półpaśca. U pacjenta od 10 tygodni obserwowano zmiany skórne zlokalizowane wokół dużej blizna brzucha po hemikolektomii wykonanej 3 lata wcześniej. Przez to nacięcie wykonano również resekcję wątroby i cholecystektomię. Podczas badania zmiany skórne były jędrne, różowawe do fiołkowatych pojawiały się również pęcherzykowe; u pacjenta zaobserwowano wodobrzusze. Po przeprowadzaniu biopsji skóry potwierdzono diagnozę gruczolakoraka przerzutowego. Najczęstsze miejsce przerzutu w przypadku gruczolakoraka jelita grubego to skóra brzucha, czasami w okolicach blizny chirurgiczne, jak widać w tym przypadku. Pacjent zmarł 5 miesięcy po prezentacji.
 
Patronat naukowy portalu:
Prof. dr hab. n. med. Grażyna Rydzewska, Kierownik Kliniki Gastroenterologii CSK MSWiA
Redaktor prowadzący:
Prof. dr hab. n. med. Piotr Eder, Katedra i Klinika Gastroenterologii, Żywienia Człowieka i Chorób Wewnętrznych Uniwersytetu Medycznego im. Karola Marcinkowskiego w Poznaniu
 
© 2026 Termedia Sp. z o.o. All rights reserved.
Developed by Bentus.