Telemedycyna w dermatologii
Wraz z burzliwym rozwojem technik tele- i bioinformatycznych pojawiła się możliwość stosowania telemedycyny, opartej o rozmaite metody i systemy, w dermatologii.
Telemedycyna, wykorzystująca wirtualne preparaty mikroskopowe, zdaje się być pomocna szczególnie w dermatopatologii. Do interpretacji cyfrowych obrazów wycinków skóry mogą być wykorzystywane preparaty histopatologiczne, preparaty barwione metodą immunoperoksydazową, jak i immunofluorescencyjną (1).
Cyfrowy zapis zeskanowanego preparatu lub jego konkretnego/istotnego fragmentu w komputerowej bazie danych (preparat wirtualny) może być analizowany na lokalnym komputerze/zdalnej stacji roboczej bez konieczności użycia specyficznego mikroskopu, umożliwiając zarówno ocenę w stanie rzeczywistym (real-time), bądź stanowiąc sieć przechowująco-przekazującą (store-and-forward). System ten umożliwia niższe koszty oceny/diagnozy oraz szybszy i łatwiejszy dostęp do konsultacji dermatologicznych uznanych specjalistów/autorytetów, jednakże jego stosowanie wiąże się, zwłaszcza w realiach naszego kraju, z pewnymi dylematami prawnymi (2) (konieczność opracowania regulacji prawnych dotyczących dopuszczalności świadczenia usług z ochrony zdrowia wykorzystujących telemedycynę). Dotychczas udowodniono przydatność telepatologii w diagnostyce wielu dermatoz, głównie w chorobach nowotworowych (3).
Perspektywicznie, wycinki skóry mogą podlegać ocenie przy zastosowaniu teledermatopatologii, niosąc możliwość przedyskutowania nietypowych przypadków, zasięgnięcia opinii, korzystając z pomocy wiodących/referencyjnych centrów diagnostyki poszczególnych chorób skóry, a także oferując cele szkoleniowe. W oparciu o możliwości teledermatologii można by też tworzyć ogólnokrajowe i międzynarodowe archiwizowane bazy danych o schorzeniach skóry do wykorzystania w projektach epidemiologicznych i badawczych, monitorować ewolucję dermatoz u poszczególnych chorych (Ryc. 1) oraz prowadzić ustawiczną samoweryfikację ośrodków referencyjnych w systemie cross-checking.
1. Lanschuetzer CM, Pohla-Gubo G, Schafleitner B, Hametner R, Hashimoto T, Salmhofer W, Bauer JW, Hintner H. Telepathology using immunofluorescence/immunoperoxidase microscopy. J Telemed Telecare.2004;10(1):39-43.
2. Marsch A, High WA. Teledermatology, teledermatopathology, interstate dermatopathology and the law. Semin Cutan Med Surg. 2013 Dec;32(4):224-9.
3. Nakayama I, Matsumura T, Kamataki A, Uzuki M, Saito K, Hobbs J, Akasaka T, Sawai T. Development of a teledermatopathology consultation system using virtual slides. Diagn Pathol. 2012 Dec 13;7:177. doi: 10.1186/1746-1596-7-177.
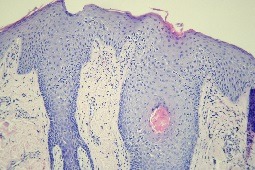
Legenda do ryciny:
Ryc. 1 Histologiczne cechy przyłuszczycy plackowatej wielkoogniskowej przechodzącej w ziarniniaka grzybiastego rozwiniętej u młodego mężczyzny ze śluzówkowodominującą odmianą pęcherzycy zwykłej w wywiadzie, która to pęcherzyca była leczona masywnie immunosupresyjnie, także cyklofosfamidem doustnie, z uzyskaniem remisji kliniczno-laboratoryjnej
Cyfrowy zapis zeskanowanego preparatu lub jego konkretnego/istotnego fragmentu w komputerowej bazie danych (preparat wirtualny) może być analizowany na lokalnym komputerze/zdalnej stacji roboczej bez konieczności użycia specyficznego mikroskopu, umożliwiając zarówno ocenę w stanie rzeczywistym (real-time), bądź stanowiąc sieć przechowująco-przekazującą (store-and-forward). System ten umożliwia niższe koszty oceny/diagnozy oraz szybszy i łatwiejszy dostęp do konsultacji dermatologicznych uznanych specjalistów/autorytetów, jednakże jego stosowanie wiąże się, zwłaszcza w realiach naszego kraju, z pewnymi dylematami prawnymi (2) (konieczność opracowania regulacji prawnych dotyczących dopuszczalności świadczenia usług z ochrony zdrowia wykorzystujących telemedycynę). Dotychczas udowodniono przydatność telepatologii w diagnostyce wielu dermatoz, głównie w chorobach nowotworowych (3).
Perspektywicznie, wycinki skóry mogą podlegać ocenie przy zastosowaniu teledermatopatologii, niosąc możliwość przedyskutowania nietypowych przypadków, zasięgnięcia opinii, korzystając z pomocy wiodących/referencyjnych centrów diagnostyki poszczególnych chorób skóry, a także oferując cele szkoleniowe. W oparciu o możliwości teledermatologii można by też tworzyć ogólnokrajowe i międzynarodowe archiwizowane bazy danych o schorzeniach skóry do wykorzystania w projektach epidemiologicznych i badawczych, monitorować ewolucję dermatoz u poszczególnych chorych (Ryc. 1) oraz prowadzić ustawiczną samoweryfikację ośrodków referencyjnych w systemie cross-checking.
1. Lanschuetzer CM, Pohla-Gubo G, Schafleitner B, Hametner R, Hashimoto T, Salmhofer W, Bauer JW, Hintner H. Telepathology using immunofluorescence/immunoperoxidase microscopy. J Telemed Telecare.2004;10(1):39-43.
2. Marsch A, High WA. Teledermatology, teledermatopathology, interstate dermatopathology and the law. Semin Cutan Med Surg. 2013 Dec;32(4):224-9.
3. Nakayama I, Matsumura T, Kamataki A, Uzuki M, Saito K, Hobbs J, Akasaka T, Sawai T. Development of a teledermatopathology consultation system using virtual slides. Diagn Pathol. 2012 Dec 13;7:177. doi: 10.1186/1746-1596-7-177.
Legenda do ryciny:
Ryc. 1 Histologiczne cechy przyłuszczycy plackowatej wielkoogniskowej przechodzącej w ziarniniaka grzybiastego rozwiniętej u młodego mężczyzny ze śluzówkowodominującą odmianą pęcherzycy zwykłej w wywiadzie, która to pęcherzyca była leczona masywnie immunosupresyjnie, także cyklofosfamidem doustnie, z uzyskaniem remisji kliniczno-laboratoryjnej
Źródło:
Justyna Gornowicz-Porowska, Marian Dmochowski, Paweł Pietkiewicz, Monika Bowszyc-Dmochowska Pracownia Autoimmunizacyjnych Dermatoz Pęcherzowych, Pracownia Histopatologii i Immunopatologii Skóry, Katedra i Klinika Dermatologii, UM w Poznaniu
Justyna Gornowicz-Porowska, Marian Dmochowski, Paweł Pietkiewicz, Monika Bowszyc-Dmochowska Pracownia Autoimmunizacyjnych Dermatoz Pęcherzowych, Pracownia Histopatologii i Immunopatologii Skóry, Katedra i Klinika Dermatologii, UM w Poznaniu
Kategorie:
Inne
