Obrazowanie ramanowskie jako współczesne narzędzie badania biologii strukturalnej czerniaka
Spektroskopia Ramana (SR), ze swymi coraz liczniejszymi odmianami, jest wschodzącym i obiecującym narzędziem w diagnostyce dermatologicznej z dużym potencjałem do bezinwazyjnej oceny/mikroanalizy pomiędzy zdrową i patologiczną skórą.
Metoda ta generuje swoisty „odcisk palca” odzwierciedlający molekularny skład mierzonych komórek. Pozwala ona na niedestrukcyjny pomiar żywych komórek i tkanek w stanie natywnym bez potrzeby uprzedniego wybarwiania lub innego przygotowywania materiału przed pomiarem. W badaniach nad nowotworami znalazła zastosowanie zarówno w testach in vitro, jak i in vivo.
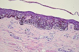
Niedawno opisano jej przydatność w różnicowaniu czerniakowych linii komórkowych od melanocytów. Udowodniono, że SR może być stosowana do monitorowania rozwoju czerniaka (Ryc. 1), przesiewu/skriningu składu molekularnego i strukturalnego skóry. Wykazano, że specyficzne pasma obserwowane w widmie Ramana i rozbieżności w intensywności sygnałów mogą identyfikować biochemiczne różnice pomiędzy komórkami czerniakowymi i melanocytami. Ponadto SR może być stosowana do określenia statusu mutacji komórkowych, analizy specyficznego typu śmierci komórkowej w komórkach czerniakowych, a także określenia ich cytotoksycznej podatności wobec danego leku (ocena skuteczności stosowanej terapii).
Dodatkowo rozpraszanie Ramana może być łączone synergistycznie z innymi sposobami kontrastowania/obrazowania (1-fotonowa i 2-fotonowa fluorescencja, autofluorescencja, obrazowanie w zakresie teraherców), dając nadzieję na obrazowanie wielosposobowe sekcji optycznych w skórze z możliwością dostarczania kontrastu specyficznego wobec struktury. Wobec powyższego takie podejście może oferować lepszy potencjał diagnostyczny (precyzyjniejsze obrazowanie skóry) od konwencjonalnej wersji obrazowania.
1. Brauchle E, Noor S, Holtorf E, Garbe C, Schenke-Layland K, Busch C. Raman spectroscopy as an analytical tool for melanoma research. Clin Exp Dermatol. 2014 Jul;39(5):636-45.
Legenda do ryciny:
Obraz histologiczny czerniaka in situ
Niedawno opisano jej przydatność w różnicowaniu czerniakowych linii komórkowych od melanocytów. Udowodniono, że SR może być stosowana do monitorowania rozwoju czerniaka (Ryc. 1), przesiewu/skriningu składu molekularnego i strukturalnego skóry. Wykazano, że specyficzne pasma obserwowane w widmie Ramana i rozbieżności w intensywności sygnałów mogą identyfikować biochemiczne różnice pomiędzy komórkami czerniakowymi i melanocytami. Ponadto SR może być stosowana do określenia statusu mutacji komórkowych, analizy specyficznego typu śmierci komórkowej w komórkach czerniakowych, a także określenia ich cytotoksycznej podatności wobec danego leku (ocena skuteczności stosowanej terapii).
Dodatkowo rozpraszanie Ramana może być łączone synergistycznie z innymi sposobami kontrastowania/obrazowania (1-fotonowa i 2-fotonowa fluorescencja, autofluorescencja, obrazowanie w zakresie teraherców), dając nadzieję na obrazowanie wielosposobowe sekcji optycznych w skórze z możliwością dostarczania kontrastu specyficznego wobec struktury. Wobec powyższego takie podejście może oferować lepszy potencjał diagnostyczny (precyzyjniejsze obrazowanie skóry) od konwencjonalnej wersji obrazowania.
1. Brauchle E, Noor S, Holtorf E, Garbe C, Schenke-Layland K, Busch C. Raman spectroscopy as an analytical tool for melanoma research. Clin Exp Dermatol. 2014 Jul;39(5):636-45.
Legenda do ryciny:
Obraz histologiczny czerniaka in situ
Źródło:
Justyna Gornowicz-Porowska, Marian Dmochowski, Paweł Pietkiewicz, Monika Bowszyc-Dmochowska Pracownia Autoimmunizacyjnych Dermatoz Pęcherzowych, Pracownia Histopatologii i Immunopatologii Skóry, Katedra i Klinika Dermatologii, UM w Poznaniu
Justyna Gornowicz-Porowska, Marian Dmochowski, Paweł Pietkiewicz, Monika Bowszyc-Dmochowska Pracownia Autoimmunizacyjnych Dermatoz Pęcherzowych, Pracownia Histopatologii i Immunopatologii Skóry, Katedra i Klinika Dermatologii, UM w Poznaniu
Kategorie:
Czerniak
